奇美醫院自2019年起採用軟式輸尿管鏡結合高能量鐳射,已完成數百例相關手術。泌尿外科醫師蔡易辰指出,這種手術方式適合處理腎囊腫、結石及泌尿上皮癌等問題。與傳統手術相比,無創手術傷口小、術後疼痛低、住院天數短,且復發率更低。特別是對2公分以下的腎結石,軟式輸尿管鏡技術成為首選,顯示其在泌尿系統疾病治療中的廣泛應用。

推薦新聞:壹蘋10點強打|護理師偷拍病患爆血漏便!冷血PO網「歡樂片」 涉6罪恐廢照(獨家)

台灣是全球泌尿上皮癌高發地區,特別是南台灣發生率更高。傳統治療需切除整顆腎臟及輸尿管,但軟式輸尿管鏡讓非侵入性、直徑小於2公分的腫瘤患者有了無創選擇。手術過程僅需自然孔道進行,透過鐳射精準燒除腫瘤,不僅降低手術風險,也減少對腎功能的影響。

根據健保資料,台灣腎結石發生率達9.6%,男性為女性的3.5倍。蔡易辰表示,奇美醫院多年經驗證明,軟式輸尿管鏡治療腎結石效果顯著,術後恢復快且併發症少。他建議患者出現反覆腰痛或尿液異常時應及早檢查,並與泌尿科醫師討論合適的治療方式,以免延誤病情。

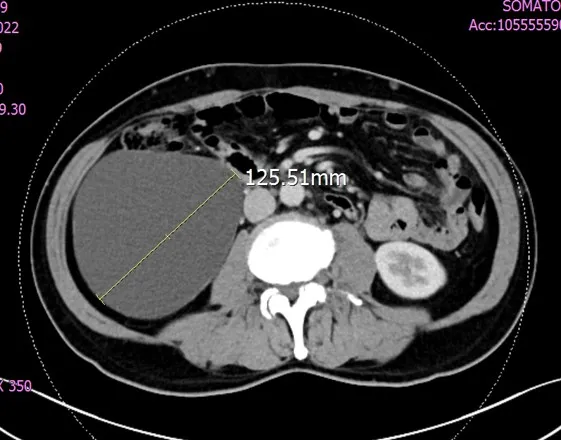
治療前12.5公分腫瘤。奇美醫院提供
治療前12.5公分腫瘤。奇美醫院提供
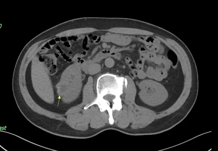
治療後腫瘤萎縮、症狀消失。奇美醫院提供
治療後腫瘤萎縮、症狀消失。奇美醫院提供
奇美醫院泌尿外科主治醫師蔡易辰。奇美醫院提供
奇美醫院泌尿外科主治醫師蔡易辰。奇美醫院提供
作者簡介

黃泓哲

曾在網路媒體任職,從體育新聞起步,因熱衷追蹤全球醫療大小事,用簡單的文字分享艱澀的醫藥專題,用溫暖的話語在白色巨塔中說真相,專注撰寫醫學、護理、藥品、長照、教育、疾病等相關專題。 To be a journalist is to care deeply for people; to be a good journalist is to turn that care into the pursuit of solutions.


點擊閱讀下一則新聞 點擊閱讀下一則新聞
5月不只報稅6新制!扣除額加碼、高齡駕駛換照、泰國入境新規一次看