台北慈濟醫院胸腔外科醫師洪嘉聰表示,肺癌已連續43年高居國人癌症死因第1名,吸菸仍是最大風險因子,但臨床上也不乏不吸菸卻罹癌的案例,可能與二手菸、空氣污染、工作環境、肺部疾病或家族史有關。由於早期肺癌幾乎沒有症狀,多數人直到咳嗽、咳血或呼吸不順時才就醫,往往已是中晚期。

洪嘉聰指出,過去多以胸部X光篩檢,但因為是平面影像,小病灶不易看清;一般電腦斷層解析度高,卻不適合長期或大規模檢查。LDCT則以較低輻射量,多角度掃描肺部,能更早發現微小結節。研究顯示,胸部X光僅約7%會發現異常,LDCT則可提升至約23%~24%,大幅增加早期肺癌被揪出的機會。

一旦能早期發現,治療效果明顯提升。洪嘉聰說,目前多採單孔胸腔鏡微創手術,傷口僅2至3公分,恢復快、疼痛低;若是高齡或肺功能較差者,也可評估冷凍消融治療。只要在早期接受治療,5年存活率可達9成。醫師提醒,符合資格的民眾應把握2年1次LDCT公費篩檢,早一步檢查,就多一分保命機會。

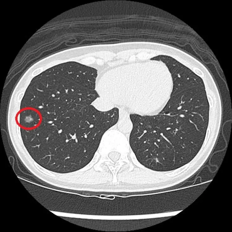
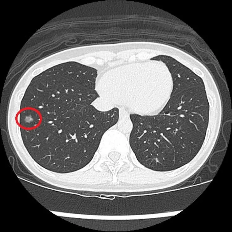
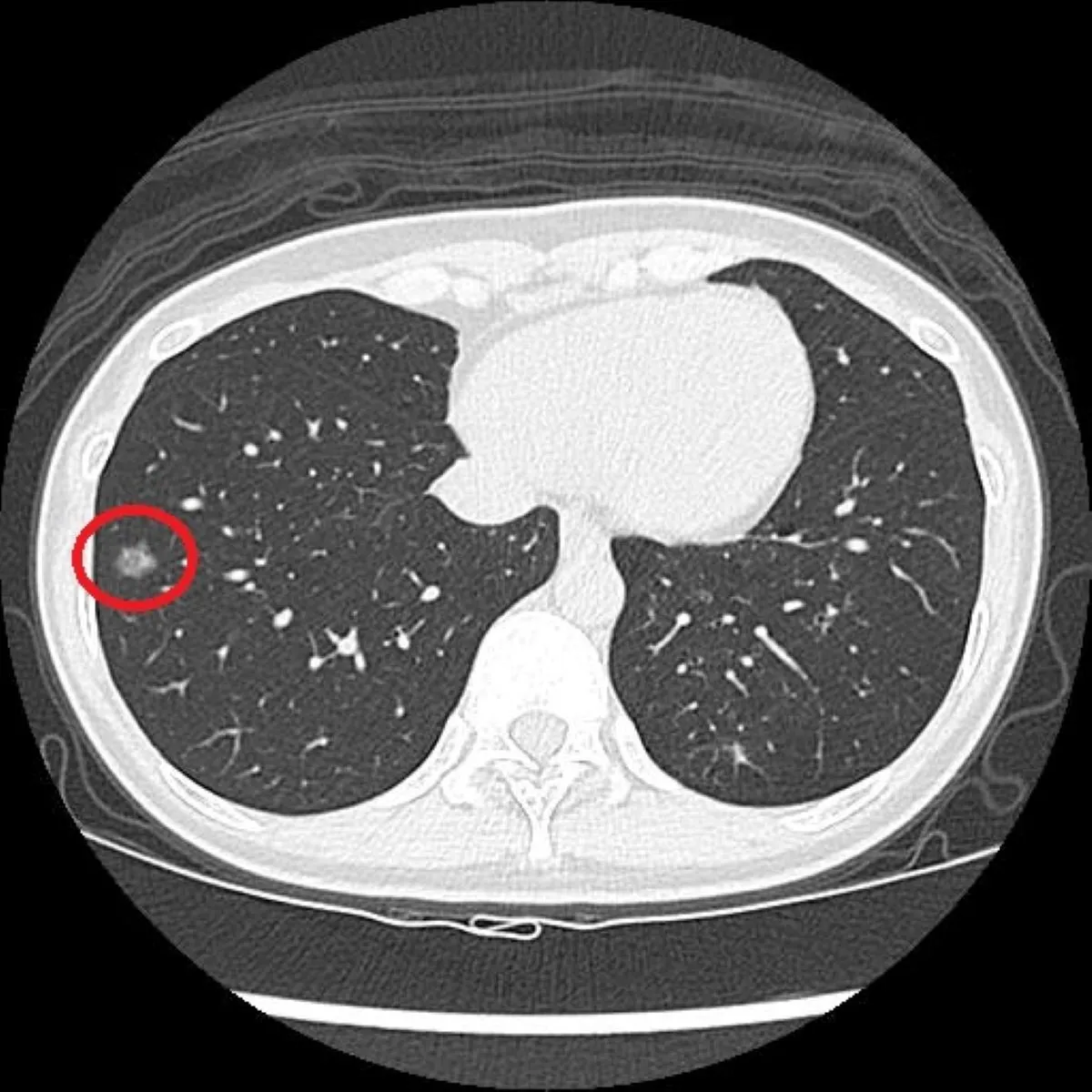
LDCT檢查顯示,陳小姐右側肺部有一1.2公分大的毛玻璃結節。台北慈濟醫院提供
LDCT檢查顯示,陳小姐右側肺部有一1.2公分大的毛玻璃結節。台北慈濟醫院提供
台北慈濟醫院洪嘉聰醫師。台北慈濟醫院提供
台北慈濟醫院洪嘉聰醫師。台北慈濟醫院提供
作者簡介

黃泓哲

曾在網路媒體任職,從體育新聞起步,因熱衷追蹤全球醫療大小事,用簡單的文字分享艱澀的醫藥專題,用溫暖的話語在白色巨塔中說真相,專注撰寫醫學、護理、藥品、長照、教育、疾病等相關專題。 To be a journalist is to care deeply for people; to be a good journalist is to turn that care into the pursuit of solutions.


點擊閱讀下一則新聞 點擊閱讀下一則新聞
5月不只報稅6新制!扣除額加碼、高齡駕駛換照、泰國入境新規一次看