烏日林新醫院過敏免疫科主任暨小兒科賴永清醫師分析指出,彭小妹的尿液混濁有異味,檢驗出亞硝酸鹽陽性代表有泌尿道感染,結晶體有三磷酸鹽及細菌,顯示出有泌尿道感染,隨後尿液培養3日發現感染「犬巴斯德菌」;由於彭小妹的媽媽也有氣喘發作,也接受尿液檢查,同樣培養出犬巴斯德菌,醫師一問才發現這對母女近期都有犬隻接觸史。

熱門新聞:台中回收場意外!員工操作不慎 害闆娘遭抓斗擊頭腦漿溢出慘死

趙永清醫師說,感染犬巴斯德菌高危險群多為免疫功能低下者,雖然彭小妹與媽媽並無免疫功能不全,屬於機會感染,感染犬巴斯德菌同時會有泌尿道感染,常見有發燒、頻尿、排尿灼熱、排尿疼痛等症狀,如果都沒有接受治療,恐會引起腎盂腎炎,最嚴重會導致敗血症及死亡。 

巴斯德菌屬包括多殺巴斯德菌、溶血性巴斯德桿菌、犬巴斯德菌及侵肺巴斯德菌等,為人畜共通傳染的病原體,較常見的是多殺巴斯德菌,反而犬巴斯德菌較少見。犬巴斯德菌主要寄生在貓狗禽類、嚙齒動物的口腔齒齦部、鼻咽呼吸道及腸胃道,臨床上較少發現傳播給人類,但人類會感染通常是因為被動物抓傷、咬傷或親密接觸,引起傷口或軟組織感染。

台灣邁向少子化與高齡化的社會趨勢,目前飼養寵物的風氣也日漸提升,相對動物病原性傳染給人類的機率也大幅提升,賴永清醫師建議,如果是免疫力不全者要特別小心,如:兒童、糖尿病肝硬化、慢性肺炎或腎臟疾病等族群,避免跟寵物過度接觸及養成良好的衛生習慣,若是出現在不明原因的感染,人畜共通傳染病應當加以考慮。

過敏免疫科主任暨小兒科賴永清醫師說,感染犬巴斯德菌同時會有泌尿道感染,若不治療最嚴重會導致敗血症及死亡。 烏日林新醫院提供
過敏免疫科主任暨小兒科賴永清醫師說,感染犬巴斯德菌同時會有泌尿道感染,若不治療最嚴重會導致敗血症及死亡。 烏日林新醫院提供
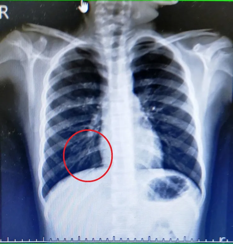
彭小妹肺部感染X光檢查。烏日林新醫院提供
彭小妹肺部感染X光檢查。烏日林新醫院提供
作者簡介

鮮明

曾先後任職3家平面媒體,跑過許多大大小小的社會新聞,擅長處理讀者投訴、爆料案件,挖掘網路熱門議題,樂於踢爆社會的不公不義。


點擊閱讀下一則新聞 點擊閱讀下一則新聞
為何吃大飯糰就暈碳想睡?營養師解答睡不好也有幫助