大里仁愛醫院骨科部長黃贊文說,前十字韌帶在膝蓋脛骨的附著處,產生撕脫性骨折有2個好發族群,一是因為騎摩托車車禍受傷的病人,另一個則是在青少年因為運動傷害造成。青少年因為骨骼強度較弱,跌倒時韌帶拉扯的力量比支撐骨骼的力強而發生骨折。有時候不只是膝蓋的脛骨處產生骨折,前十字韌帶也會有不同程度的受傷。

熱門新聞:壹蘋10點強打|丹麥大叔賣房撐台灣足球 教學12年為逾百少年圓夢

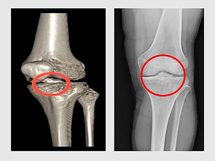
劉永川醫師表示,前十字韌帶受傷可能的症狀有膝蓋疼痛、腫脹、膝蓋不穩定或是腿軟無力。診斷的方式除了病史詢問理學檢查外,X光或電腦斷層也可以看到撕脫性骨折的證據,核磁共振則可以進一步提供韌帶、半月板和關節軟骨是否有因為膝蓋不穩定造成受傷的資訊,一旦傷害產生容易造成膝關節提早退化。

患者左腳膝關節的前十字韌帶在脛骨處產生撕脫性骨折(左圖);手術後已恢復正常(右圖)。院方提供
患者左腳膝關節的前十字韌帶在脛骨處產生撕脫性骨折(左圖);手術後已恢復正常(右圖)。院方提供

張世昇主任指出,「微創關節鏡縫線縫合固定技術」是由基隆長庚醫院副院長詹益聖醫師研發,使用健保的縫線縫合修補前十字韌帶後再將脛骨上隧道鑽孔固定,適用各種程度的前十字韌帶撕脫性骨折,術後病人恢復快通常隔天即可出院,兩週後再回診拆線觀察傷口,此技術發表在知名的國際期刊Arthroscopy上獲得全球相當多的醫師引用。

劉永川說,現在台灣的運動風氣越來越盛行,發生運動傷害的青少年也越來越多,前十字韌帶撕脫性骨折的案例在臨床上並不少見且容易被忽略。「微創關節鏡縫線縫合固定技術」在生長板還未癒合的青少年也適用且不會影響生長,在手術中也可以加上高濃度血小板生長因子(PRP)的注射來幫助骨折韌帶癒合修復,建議若有前十字韌帶撕裂性骨折的情況,可以尋求專業骨科醫師評估與建議。

劉永川醫師建議,若有前十字韌帶撕裂性骨折的情況,可以尋求專業骨科醫師評估與建議。院方提供
劉永川醫師建議,若有前十字韌帶撕裂性骨折的情況,可以尋求專業骨科醫師評估與建議。院方提供
作者簡介

鮮明

曾先後任職3家平面媒體,跑過許多大大小小的社會新聞,擅長處理讀者投訴、爆料案件,挖掘網路熱門議題,樂於踢爆社會的不公不義。


點擊閱讀下一則新聞 點擊閱讀下一則新聞
美國回台夫婦心疾就醫 一聽自費藥「1天70元」秒喊轉院