林口長庚醫院運動醫學科陳昭宇教授說明,手肘尺側副韌帶重建手術俗稱湯米約翰手術(Tommy John Surgery),本手術因1974年美國大聯盟投手Tommy John因為長期投球造成手肘尺側副韌帶斷裂,在接受此項手術治療後重新回到大聯盟投球,表現優異後,因此而得名。

熱門新聞:「遊艇大亨」下藥性侵正妹遭通緝 警圍捕發現他成「槍砲大亨」

大里仁愛醫院骨科部長黃贊文醫師表示,手肘尺側副韌帶損傷常見於肘關節脫臼之病人以及經常需要激烈甩動手臂的運動員身上,以棒球投手和其他投擲運動員如美式足球的四分衛和標槍運動員等最常見。大聯盟天使隊「二刀流」球星大谷翔平,過去也曾是手肘尺側副韌帶斷裂的受害者,在2018年10月接受湯米約翰手術後強勢回歸,不僅投球逐漸穩定,打擊更是不斷刷新紀錄。

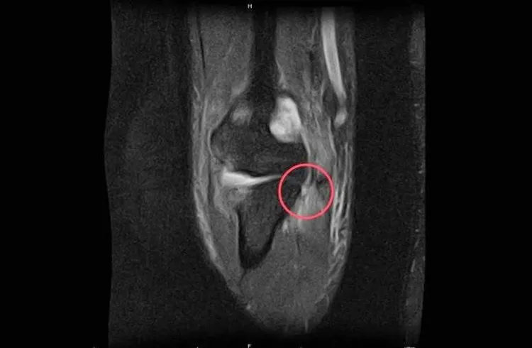
磁振造影下之尺側副韌帶斷裂處。院方提供
磁振造影下之尺側副韌帶斷裂處。院方提供

陳教授解釋,若是較輕微的尺側副韌帶損傷可以考慮先用石膏或肘支架固定的保守療法;而較嚴重複雜脫臼或伴隨骨折之病人則需進行手術作固定及韌帶修補。然而當治療失敗變成慢性的肘關節不穩定之病人,就得考慮施行手肘尺側副韌帶重建手術。

手術過程中需將身上其他部位肌腱(最常使用病人的掌長肌肌腱)移植到破損之手肘尺側韌帶來重建,藉此達到重建肘關節穩定度的目的。手術之後須使用手肘支架固定在90度,讓重建好的韌帶有穩定的環境可以生長修復。在門診追蹤過程中,可以把肘支架的活動角度慢慢增加,讓病人可以兼顧復健與避免關節沾黏。

李祥安醫師(左)、陳昭宇教授(右)取患者掌長肌肌腱來重建斷裂的尺側韌帶。院方提供
李祥安醫師(左)、陳昭宇教授(右)取患者掌長肌肌腱來重建斷裂的尺側韌帶。院方提供

大里仁愛醫院李祥安醫師說,林先生是軍中訓練傷兵搬運過程中,不慎重心不穩,肩上扛著的同袍壓在他的右手肘上而造成手肘尺側副韌帶斷裂,這樣的情形很少見。建議民眾若曾經發生手肘關節脫臼,經治療後仍持續感到肘關節不適、不穩定或使不上力的情況,應就醫尋求專業骨科醫師的評估與及早後續治療。 

作者簡介

鮮明

曾先後任職3家平面媒體,跑過許多大大小小的社會新聞,擅長處理讀者投訴、爆料案件,挖掘網路熱門議題,樂於踢爆社會的不公不義。


點擊閱讀下一則新聞 點擊閱讀下一則新聞
醫界聯合表態挺三班護病比入法 籲配套先行避免衝擊醫療