在進一步發現可疑病灶後,光田醫師胸腔外科陳紀寰醫師立即與患者及家屬溝通,說明目前的手術計畫將進入胸腔處理骨折與積血,同時也建議利用這次機會,直接切除可疑肺病灶,爭取最佳治療時機。手術順利完成後,病理報告證實為「肺腺癌」。所幸是顆小於1公分的早期腫瘤。

熱門新聞:南投違規砂石車心虛拒檢 國道狂逃15公里!苦吞10紅單最重罰25萬

陳紀寰醫師說,該名患者屬於肺癌最早期的第一期,是所有肺癌分期中最輕微、預後最好的階段,不僅幾乎無症狀,治癒率極高。也正因為發現得早,處理及時,術後無需接受化療或放療,目前恢復良好,僅需定期追蹤觀察。

陳紀寰醫師坦言,這類情況相當少見,若不是這場車禍促使就醫,林先生恐怕要等到腫瘤擴大、侵犯到周邊血管神經或其他重要結構時,才可能出現症狀,但屆時卻也已錯過治療黃金期。

他說明,肺腺癌是目前最常見的肺癌類型,偏好生長在肺部邊緣,由於位置較靠外側,初期不易侵犯位置較內側的氣管、神經或血管,因此多數患者在早期幾乎沒有明顯症狀,可能在體內「無聲無息」潛伏多年,等到被發現時往往已是晚期。目前「氣管、支氣管與肺癌」已連續蟬聯多年台灣十大癌症死因第一名,早期肺癌的五年存活率可達約九成,與晚期僅一至三成的存活率相比,差距極為懸殊。

陳紀寰醫師說,降低肺癌死亡率的關鍵在於早期發現,民眾可善用政府提供的低劑量胸腔電腦斷層(LDCT)肺癌篩檢補助。自114年起,國健署已下修篩檢年齡與吸菸史門檻,將更多高風險族群納入篩檢對象。符合條件的40-74歲女性及45-74歲男性,凡具肺癌家族史、重度吸菸史或戒菸未滿15年者,每2年可接受1次免費低劑量胸腔電腦斷層檢查,及早發現、及早治療。

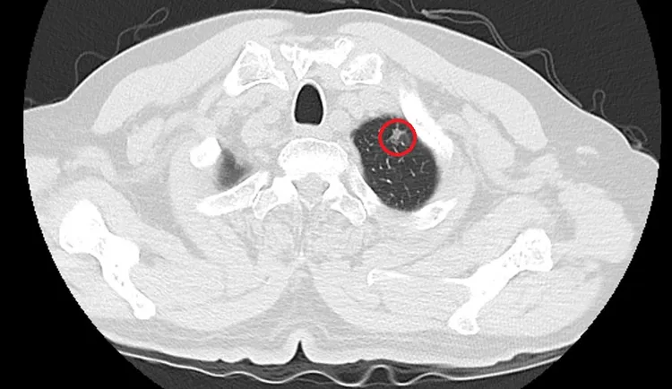
切除可疑肺病灶後,病理報告證實為肺腺癌。光田醫院提供
切除可疑肺病灶後,病理報告證實為肺腺癌。光田醫院提供
作者簡介

鮮明

曾先後任職3家平面媒體,跑過許多大大小小的社會新聞,擅長處理讀者投訴、爆料案件,挖掘網路熱門議題,樂於踢爆社會的不公不義。


點擊閱讀下一則新聞 點擊閱讀下一則新聞
5月不只報稅6新制!扣除額加碼、高齡駕駛換照、泰國入境新規一次看