李小姐說,得知要手術時,台中榮總達文西手術可提供多孔或單孔的選擇,「我怕痛,所以選擇只有一個傷口的方式,恢復得很快。」她說,手術後不到24小時即可下床行走。回想整個經過,李小姐笑說,這次異常出血剛好發生在參加土地公福宴的隔天,或許是土地公的庇佑,讓她能及時發現病灶。

熱門新聞:益生菌改善子宮環境 幫助不孕8年婦女求子成功

台中榮總表示,今年引進單孔達文西系統(da Vinci Single-Port System),並已實際運用於婦女醫學部完成子宮內膜癌手術、子宮切除、肌瘤切除、卵巢囊腫剝除等婦科四大領域微創手術,目前已為400例病患進行早期子宮內膜癌微創手術,發現與傳統開腹手術相比,微創手術出血量少、病患恢復較快、術後生活品質較高,且局部復發率僅有1.5%,顯示微創手術療效與安全性俱佳。

台中榮總婦女醫學部孫珞醫師表示,單孔達文西手術屬於「極微創」手術,透過單一入口進行操作,病患身體只有一處2.5至3公分的傷口。系統採用多關節、蛇型可彎曲的器械設計,模擬手肘與手腕動作,大幅提升醫師在腹腔與骨盆腔內的操作自由度與靈活性,同時具備傷口美觀、術後疼痛低、恢復期短等多重優勢。

孫珞解釋,傳統以腹腔鏡器械操作單孔手術,受限於直式器械、靈活度有限,可能降低病灶切除時的精細度與組織縫合的密度,對於有生育需求者來說若是肌瘤切除後子宮縫合不夠緊密可能影響未來子宮壁強度。現在採用新型的達文西單孔系統即可在單孔下靈活處理病灶,不過疾病適用與否必須經專業醫師評估,例如運用在子宮肌瘤手術中,肌瘤過大或過多顆則可能不適用,必須與臨床醫師討論。

孫珞也提醒婦女們,造成停經後出血原因包括:陰道及子宮頸萎縮、息肉或肌瘤等良性原因;子宮內膜亦可能發生異常增生,雖然尚未達到惡性程度但仍需積極手術處理;惡性原因則以子宮內膜癌最為常見,其他還包括子宮頸癌、卵巢癌、陰道或外陰癌。

如果民眾屬子宮內膜癌的高風險群,包括初經早或停經晚、長期月經不規則、肥胖、糖尿病、代謝症候群、曾具多囊卵巢症候群病史、不曾懷孕、使用荷爾蒙治療等狀況,建議應定期接受婦科檢查。停經後子宮內膜癌的患者有90%都會出現陰道出血的症狀,更年期後若有不正常出血,不論出血天數或血量,一定要盡快就醫檢查,才不會錯過治療時機。

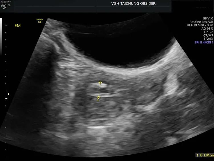
透過超音波可見患者子宮內有異常息肉。中榮提供
透過超音波可見患者子宮內有異常息肉。中榮提供
作者簡介

鮮明

曾先後任職3家平面媒體,跑過許多大大小小的社會新聞,擅長處理讀者投訴、爆料案件,挖掘網路熱門議題,樂於踢爆社會的不公不義。


點擊閱讀下一則新聞 點擊閱讀下一則新聞
1人傳染18人!日本6地淪麻疹重災區 「洗手戴口罩仍不夠」