豐原醫院表示,這名47歲的吳小姐長期腰酸背痛不適,近三個月開始下肢無力、麻痛,無法工作,甚至須使用四腳拐杖協助才能走動,在先生陪同至該院神經外科門診求治,經醫師做神經學評估及安排頸部核磁共振檢查,發現頸部退化椎間盤突出導致壓迫神經使肢體麻痛無力。

熱門新聞:「皇池溫泉」偷拍狼4人抓到了!10男女愛愛片流入「創意私房」販售

吳小姐告訴醫師,此次頸椎出問題應該與自己長期胸部豐滿而導致,因為從年輕時胸部就很豐滿,也造成自己生活上許多不方便

豐原醫院神經外科張正一醫師安排頸椎融合手術,改善吳女神經壓迫狀況;因病人與先生本有共識要解決長期乳房過於豐滿的問題,住院期間會診乳房外科趙玟珊醫師討論乳房縮減手術,決定立即接受縮胸手術,

此手術共切除兩側4.5公斤的乳房組織,術後吳小姐感受到胸前壓力大大減輕,而頸椎融合手術也改善下肢麻痛、無力感,後續住院期間持續照護縮胸手術傷口及下肢復健治療,讓她和先生感到十分欣慰。

趙玟珊醫師表示,胸部過於豐滿主要跟遺傳與飲食有相關,除了會對健康造成影響外,女性易隨著懷孕和年齡增長,使得乳房下垂的情形更為嚴重,對肌肉造成負擔,因下垂的乳房與皮膚摩擦,也容易造成皮膚潰爛及溼疹問題,而胸部豐滿女性就像背了兩顆鉛球在胸前,這重擔違反了人體工學,容易造成駝背加劇、胸椎更加後凸,更可能造成「駝背」

神經外科張正一醫師也表示,身體為了平衡駝背,易導致頭部自動往前移,讓肩頸痠痛產生,外觀上易變成「永久低頭族」,如此易傷頸椎,提醒民眾造成下肢無力會有許多原因,必要時盡早求醫做檢查,甚至與醫師討論自身狀況,或許會有意外的發現,才能徹底改善原因,達到治療效果。

趙玟珊醫師以乳房超音波影像向患者說明縮減手術。豐原醫院提供
趙玟珊醫師以乳房超音波影像向患者說明縮減手術。豐原醫院提供
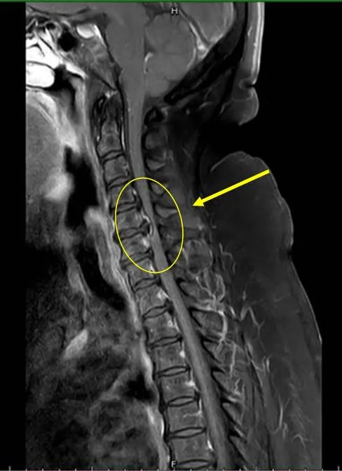
經頸部核磁共振檢查,發現患者頸椎壓迫很嚴重,立即安排頸椎融合手術來改善神經壓迫狀況。豐原醫院提供
經頸部核磁共振檢查,發現患者頸椎壓迫很嚴重,立即安排頸椎融合手術來改善神經壓迫狀況。豐原醫院提供
作者簡介

鮮明

曾先後任職3家平面媒體,跑過許多大大小小的社會新聞,擅長處理讀者投訴、爆料案件,挖掘網路熱門議題,樂於踢爆社會的不公不義。


點擊閱讀下一則新聞 點擊閱讀下一則新聞
5月不只報稅6新制!扣除額加碼、高齡駕駛換照、泰國入境新規一次看