李政祺醫師表示,這位女性患者在急診時抽血驗出她的白血球數高達23000(正常為400-10000),其中嗜酸性白血球比例29%(正常為5%),腹部電腦斷層發現小腸壁變厚且有明顯腹水情形,經收治住院治療。

熱門新聞:女乘客提前刷卡沒下車被幹譙 台中公車司機暴怒:又不是X妳

李政祺說,該患者白血球很高,卻無發燒現象,應該不是典型的腸胃炎,因明顯腹水經抽出約800CC腹水並做化驗,發現嗜酸性白血球高達76%,經胃鏡取胃黏膜做切片檢驗,胃黏膜的嗜酸性球異常增加。人體白血球以嗜中性球和淋巴球占絕大多數,還有極少比例的嗜酸性球和嗜鹼性球,嗜酸性球過高又有腸胃發炎現象,排除其他原因後,確診為少見的「嗜酸性腸胃炎」。

通常罹患嗜酸性腸胃炎的高危險群是有過敏體質的人,排除寄生蟲感染,往過敏原因再追查。李政祺說,該患者經做過敏原檢查,發現對塵蟎的過敏程度較高,可以勾勒出她罹患嗜酸性腸胃炎的路徑,該患者的過敏體質接觸到獨特的過敏原後,會將白血球中的嗜酸性球吸引到腸胃黏膜,導致患者小腸壁變厚、胃部發炎,也出現腹水,表現的症狀與一般腸胃炎相似,如腹脹、腹痛、嘔吐、腹瀉情形。

李政祺指出,臨床醫學統計,在美國罹患嗜酸性腸胃炎的比率約十萬分之二十二,台灣的罹病率不高約十萬分之六點三,算是少見的疾病,如果未能確診而當成一般腸胃炎治療,其復發的比率很高。

該患者接受類固醇藥物治療後,腹水已消去,腹脹、腹痛、嘔吐、腹瀉等症狀痊癒,不過,李政祺特別叮嚀該患者,一定要完整服用藥物療程,不能因症狀改善就自行停用藥物,否則仍有復發的可能,同時也請患者定期清洗床被單,杜絕過敏原塵螨滋生,以免再引發嗜酸性腸胃炎。

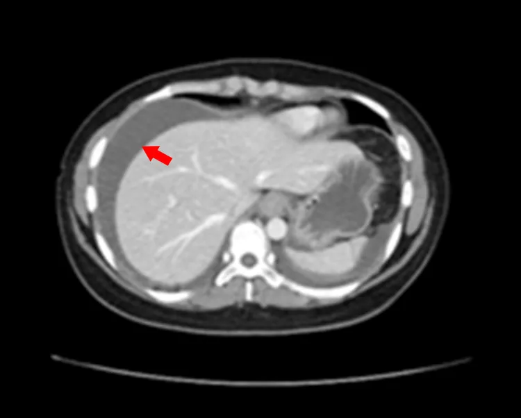
患者腹水情形嚴重(箭頭)。中港澄清醫院提供
患者腹水情形嚴重(箭頭)。中港澄清醫院提供
作者簡介

鮮明

曾先後任職3家平面媒體,跑過許多大大小小的社會新聞,擅長處理讀者投訴、爆料案件,挖掘網路熱門議題,樂於踢爆社會的不公不義。


點擊閱讀下一則新聞 點擊閱讀下一則新聞
伊波拉非洲2國拉警報!致死率最高9成 去當地別碰蝙蝠、猴子