仁愛長庚合作聯盟醫院骨科部長黃贊文表示,二頭肌連結到肩膀分為長頭肌腱和短頭肌腱,長頭肌腱較容易斷裂。二頭肌肌腱斷裂一般好發在50歲左右的中年男性的慣用手,二頭肌斷裂後當肘關節彎曲時上臂會出現像大力水手卜派一樣腫大的情形。常見的危險因子包括年紀、抽菸、肥胖、服用類固醇或手臂過度使用,其他像是使用quinolone類的抗生素、糖尿病、腎臟病或紅斑性狼瘡也有可能會發生。

運動醫學中心劉永川醫師說,二頭肌長頭肌腱斷裂若沒有影響日常生活功能可以考慮保守治療。但如果在工作或生活上比較需要使用到手臂的肌力、無法接受患側較腫大的二頭肌和會偶爾抽筋的困擾,則可以考慮手術治療。

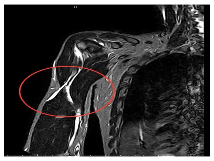
核磁共振(MRI)影像顯示,病患的肱二頭肌長頭斷裂(紅圈處)。院方提供
核磁共振(MRI)影像顯示,病患的肱二頭肌長頭斷裂(紅圈處)。院方提供

劉永川指出,在二頭肌腱斷裂的病人中要特別注意的是,病人容易合併有肩關節旋轉肌的受傷。當確認有旋轉肌的問題時,則建議安排手術治療。手術的方式是將二頭肌肌腱固定在肱骨頭上,但是若斷裂的位置比較靠近關節且合併旋轉肌破裂等問題,則使用內視鏡的方式進行肌鍵固定和旋轉肌的修補。

近年來健身、運動風氣興盛,全民不分男女老幼都有運動的習慣。劉永川建議,為了預防運動傷害,最好有運動前暖身,運動後伸展放鬆的習慣。若是發生二頭肌腫脹疼痛,建議及早尋求專業骨科醫師的建議,進一步檢查是否有肩關節旋轉肌的受傷,才可以活到老運動到老。

劉永川醫師提醒,若發生二頭肌腫脹疼痛,應及早尋求專業骨科醫師建議。院方提供
劉永川醫師提醒,若發生二頭肌腫脹疼痛,應及早尋求專業骨科醫師建議。院方提供
作者簡介

鮮明

曾先後任職3家平面媒體,跑過許多大大小小的社會新聞,擅長處理讀者投訴、爆料案件,挖掘網路熱門議題,樂於踢爆社會的不公不義。


點擊閱讀下一則新聞 點擊閱讀下一則新聞
美國回台夫婦心疾就醫 一聽自費藥「1天70元」秒喊轉院