林奐宇醫師指出,王男到診間就主訴聲音沙啞、吃東西吞嚥困難,而他發現王男講話時已經出現「咻咻」的喘息聲,趕緊安排內視鏡檢查,在喉嚨處發現一顆將近3公分大的腫瘤,喉道僅剩些微的縫隙能維持呼吸,建議做保護性的氣切手術,以維持呼吸暢通,並做腫瘤切片檢查。

不過,王男在聽聞醫師建議後,一時難以接受,拒絕手術治療便自行返家,卻在3天後因感覺快要無法呼吸,被送到急診室氣切急救才保住一命,切片診斷為下咽癌第四期,目前正在血液腫瘤科做放射線治療清除腫瘤,情況穩定。

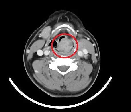
王男喉嚨處發現一顆將近3公分大的腫瘤,喉道僅剩些微的縫隙能維持。院方提供
王男喉嚨處發現一顆將近3公分大的腫瘤,喉道僅剩些微的縫隙能維持。院方提供

林奐宇說,一般感冒的沙啞一周左右就會好,如果沙啞持續兩周以上,應儘速就醫進一步檢查,門診中因沙啞症狀發現罹患癌症的患者不在少數,也曾遇過一名72歲的伯伯聲音沙啞、氣音持續2周以上未好轉,進一步診斷為肺部腫瘤轉移到頸部淋巴,至少已經是肺癌第三期;因此,聲音沙啞是罹患肺癌、喉癌、下咽癌、食道癌等癌症的其中一種表現警示,甚至會伴隨吞嚥困難、呼吸不順,需要特別注意。

澄清醫院癌症防治中心主任暨血液腫瘤科醫師陳仁亮也呼籲,造成肺癌、喉癌、下咽癌、食道癌等癌症,常見都與習慣性抽菸、喝酒、吃檳榔等不良嗜好有關係,尤其是口、咽、喉部癌症好發於40至60歲的男性,初期並沒有明顯的症狀,有時有症狀已經是晚期,提醒除了不要輕忽沙啞等警訊外,定期健康檢查與癌症篩檢是最重要的。

作者簡介

鮮明

曾先後任職3家平面媒體,跑過許多大大小小的社會新聞,擅長處理讀者投訴、爆料案件,挖掘網路熱門議題,樂於踢爆社會的不公不義。


點擊閱讀下一則新聞 點擊閱讀下一則新聞
5月不只報稅6新制!扣除額加碼、高齡駕駛換照、泰國入境新規一次看