吳教練回憶事發當天,他帶著學員一對一教學,原本利用指北針估算好與航道的距離,沒想到下潛後被暗流帶進航道,一浮上來,漁船已經迎面而來,他趕緊先救學員避免被螺旋槳弄傷,但自己的左小腿沒閃過慘遭截斷,瞬間血流如注。

事故發生時,吳教練與學員距離岸邊50公尺,他第一時間冷靜地使用潛水裝備上的二級頭低壓軟管將斷肢處緊緊綁住,綁到血液沒繼續流出,隨後將斷肢抬高於心臟,一邊帶著學員努力游回岸邊,再請同事教練去事故位置協尋斷肢,所幸很快在海面下5公尺尋獲、迅速送醫院。

基隆長庚醫院院長賴旗俊表示,要挽救像吳先生這樣的患者,必須與時間賽跑,才能減少肢體缺血對患者後續帶來永久性的功能喪失,而患者在面對逆境時的堅持與勇氣,也同樣鼓舞著人們和傳遞著希望與生命的力量。

基隆長庚醫療團隊花費12小時成功替吳先生植回斷肢。林林攝
基隆長庚醫療團隊花費12小時成功替吳先生植回斷肢。林林攝

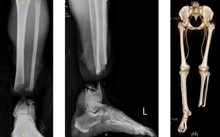
基隆長庚整形外科醫師藍靖宇指出,當天的緊急手術先由骨科陳建豪醫師完美的將骨頭復位採取外固定後,再由整形外科醫師接手迅速進行顯微重建手術,這需要高度的技術和精準性,因為不僅要將患者的小腿成功植回,還要確保成功植回後能恢復日常生活,甚至繼續從事潛水活動的功能性。

藍靖宇表示,手術從下午4點左右開始,先由骨科醫師復位骨頭,接著由整形外科進行顯微重建手術,顯微重建耗時4到6個小時,整個手術直到隔天凌晨4時才結束。

藍靖宇先從吳先生正常的右小腿取下25至30公分的靜脈血管做移植,再重建斷肢左小腿的前及後側的兩套血循系統,同時也重新吻合主要的運動及感覺神經,並修復了小腿包含前側、後側、外側幾乎所有的肌肉與肌腱。

吳先生的左小腿被漁船螺旋槳截斷。長庚醫院提供
吳先生的左小腿被漁船螺旋槳截斷。長庚醫院提供

術後,基隆長庚醫療團隊除了在傷口照護外,更替吳先生制定了個人化的康復計畫,結合物理治療和康復護理,以確保患者能夠在康復過程中達到最佳效果。基隆長庚外科部副部主任陳志豪強調,除了手術的成功,也歸功於患者自身積極的配合治療,患者的積極心態和對治療的執著是康復的關鍵所在。

吳先生在遭遇重大創傷的三個月後,返診時已經可以自行「走」進診間,藍靖宇確認他的重植肢端的血循良好、動作及感覺神經功能持續恢復,肌腱力量的傳遞也能有效促使腳踝和腳趾的伸直與彎曲。不過潛水需要大量腳部踢水動作,所以吳先生之後還要再接受阿基里斯腱強化手術,就有機會繼續從事潛水教學。

吳先生感謝基隆長庚的醫護團隊讓他奇蹟重生,他說:「撿回一條命,但沒想到基隆長庚醫院團隊同時考慮到我的職業,藍靖宇醫師手術中仔細的將我的腿進行接合修補與重建,術後悉心的照料也讓我感到非常溫暖與安心。」

吳先生原本計畫在2023年底出國潛水,因這次嚴重的受傷,只能取消。但經過手術及術後三個多月迅速的恢復,讓我對未來又充滿希望,目前他先從事泳池清潔工作,期待有一天回到最愛的大海。

 

基隆長庚整形外科醫師藍靖宇(左)與吳先生(右)。林林攝
基隆長庚整形外科醫師藍靖宇(左)與吳先生(右)。林林攝

點擊閱讀下一則新聞 點擊閱讀下一則新聞
聞屁味防失智?研究證實「臭雞蛋氣體」可逆轉阿茲海默症 腦力、行動力暴增 50%