亞洲大學附屬醫院大腸直腸外科主治醫師林敬淳指出,便秘是指常有排便困難、解不乾淨的感覺,造成便秘原因則以原發性便秘居多,包括久坐、負重、生活作息不正常、心理壓力大、欠缺運動、水分補充少及欠缺攝取高纖維食物等。

林敬淳表示,這位患者因年紀較大,腸胃蠕動比較差,使得近年來飽受便秘之苦,平時多半靠軟便藥改善排便問題,但日前數日沒上廁所,他突發奇想竟以為「用手指摳一下試試看」,沒想到不僅沒有摳出糞石,反倒感覺肛門周邊肌肉「痛痛的」,他以為只是痔瘡不以為意,但忍了好幾天依舊未改善,只好趕緊就醫。

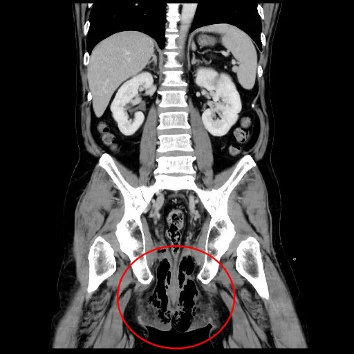
醫師檢查時外觀沒有紅腫跡象,先行給藥建議返家觀察,不料兩天後症狀加劇再度就醫,不僅肛門周邊開始紅腫,甚至延著筋膜一路延伸到陰囊、會陰及前腹壁等部位,立即安排斷層掃描及手指內診,確認是細菌感染所引發的壞死性筋膜炎,也稱為「佛尼爾氏壞死症」,若不緊急執行清創手術,死亡率恐高達9成以上,即使妥善治療,死亡率平均仍介於20至30%,是十分嚴重的急症之一。

檢查發現老翁肛門、陰囊、會陰及前腹壁等部位,被細菌感染引發壞死性筋膜炎。院方提供
檢查發現老翁肛門、陰囊、會陰及前腹壁等部位,被細菌感染引發壞死性筋膜炎。院方提供

所幸手術過程十分順利,潰爛組織都清除完畢,在醫療團隊細心照料下,患者住院20多天後總算痊癒出院,他也餘悸猶存地向醫師說:「我以後再也不敢亂挖了!」

林敬淳提醒,佛尼爾氏壞死症病況發作快速、致死率極高,任何小傷口都要特別注意,萬一本身是糖尿病患、免疫力低下等高危險群者,一旦肛門部位出現局部紅腫熱痛症狀,也一定要儘速就醫尋求協助,以免錯過最佳治療時機,釀成難以彌補的傷害。

作者簡介

鮮明

曾先後任職3家平面媒體,跑過許多大大小小的社會新聞,擅長處理讀者投訴、爆料案件,挖掘網路熱門議題,樂於踢爆社會的不公不義。


點擊閱讀下一則新聞 點擊閱讀下一則新聞
秋節前夕關懷獨居長者 新北有線電視業者暖贈禮盒傳愛