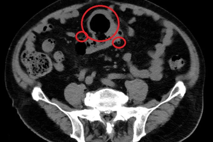
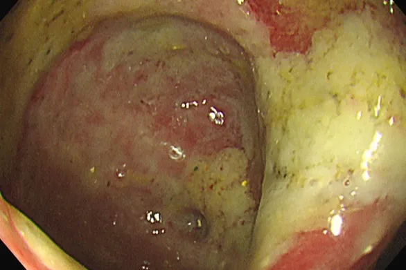
大腸直腸外科醫師陳信宏指出,從電腦斷層發現,趙先生的大腸有多處憩室,合併乙狀結腸有一個巨大囊狀腫塊,甚至產生腹水,其中產生的憩室最大也已至7-8公分,經檢體取樣排除惡性腫瘤的可能後,以微創腹腔鏡手術切除乙狀結腸,5天後趙先生平安出院,不再腹痛。
「大腸憩室」是指腸內壓力增加而形成膨出的囊袋,大部份的人不會察覺,往往都是透過健康檢查、電腦斷層得知,若囊袋發炎即為「大腸憩室炎」。但只有15-20%大腸憩室患者會轉變成有症狀的大腸憩室炎,有症狀的患者最終需要接受手術的也是少數。
陳信宏指出,平時經常性攝取高油、低纖食物、抽菸喝酒的人,出現「大腸憩室炎」的機率也越高,通常伴隨腹痛、腹瀉甚至產生血便。臨床上會透過電腦斷層、大腸鏡檢查病患是否有大腸憩室,但大腸鏡為侵入性檢查,不適用於已知腸道發炎的病人,以免發生穿孔的問題。
「大腸憩室炎」分為四期,陳信宏表示,第一期、第二期會給予藥物治療,並以輕流質、低纖飲食為主就能逐漸改善病況。而第三期、第四期會禁食,靠點滴給予水分及營養後,若症狀無改善甚至加劇,則會選擇微創腹腔鏡手術切除病灶,最後將兩端腸子進行縫合,術後的腸道功能也無受影響,唯需注意傷口癒合狀況及術後控管飲食。
陳信宏提醒,大腸憩室炎的表徵、疼痛點與其他腸胃疾病相似,許多民眾以為是單純腸胃炎,自行到藥局買藥吃,「在不確定病因下擅自買藥來吃只會惡化病情,若是臨床症狀較為嚴重或是門診治療後症狀屢次發生,則需要做詳細檢查,以免延宕治療。」

爆料信箱:news@nextapple.com
★加入《壹蘋》Line,和我們做好友!
★下載《壹蘋新聞網》APP
★Facebook 按讚追蹤
點擊閱讀下一則新聞
梅雨季濕氣爆表 中醫警告:體內「除濕機」失靈恐害慢性病