亞洲大學附屬醫院胸腔內科主治醫師謝逸安表示,慢性咳嗽原因很多,常見包括急性感染如黴漿菌、慢性呼吸道疾病如氣喘、肺阻塞,或是肺部以外器官如鼻涕倒流、胃食道逆流等,甚至一些非感染性的全身性發炎疾病都是可能引起久咳不癒,例如「支氣管擴張症」就是其中之一。

熱門新聞:台中私幼爆虐童!多童遭「大力拉扯、摔壓打頭」 教育局啟動調查

謝逸安指出,支氣管擴張症的中文翻譯過於簡化,往往會讓病人聽到的當下摸不著頭緒,簡單來說,支氣管擴張症主要是肺部支氣管壁因為先天(基因)或後天的原因導致結構破壞,小支氣管失去彈性彎曲及擴張,形成永久不可逆性的擴張,導致痰液容易堆積,而支氣管壁上負責執行痰液清潔的纖毛,也因反覆發炎遭到破壞而雪上加霜。

謝逸安表示,這類病人最常見的症狀就是咳嗽不止,不僅早晨會咳出又髒又濃的黃痰,甚至還有血痰、呼吸困難及胸痛等併發症,呼吸道感染頻率也會隨之增加,若是長期未治療,還會導致食慾減退及容易疲倦,增加呼吸衰竭的風險。

因此謝逸安提醒,支氣管擴張症就是一種慢性病,目前尚未有可恢復已破壞支氣管健康的治療方式,但若能適當的清除痰液,就能有效地避免支氣管擴張症持續惡化,目前治療重點會以非藥物的痰液清除方法為主,藉由適當的姿勢引流、拍背、學習呼吸控制及氣道清除技術,再搭配化痰藥及排痰劑、吸入性支氣管擴張劑,多半能改善症狀。
  
簡姓婦人接受適當治療一個多月後,咳嗽濃痰情況大幅改善,也未再有咳血情形,生活品質也逐漸變好,謝逸安也提醒,慢性咳嗽原因眾多,民眾若久咳不癒超過半個月,就應主動尋求胸腔科醫師協助,且療程期間要積極就醫並且耐心配合醫師,才有機會可以把慢性咳嗽治療得好。

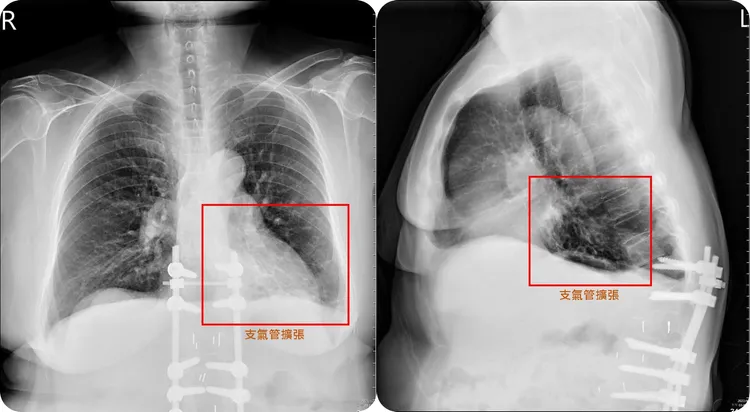
患者左下肺部的支氣管嚴重擴張,出現各種不適症狀。亞大附醫提供
患者左下肺部的支氣管嚴重擴張,出現各種不適症狀。亞大附醫提供
作者簡介

鮮明

曾先後任職3家平面媒體,跑過許多大大小小的社會新聞,擅長處理讀者投訴、爆料案件,挖掘網路熱門議題,樂於踢爆社會的不公不義。


點擊閱讀下一則新聞 點擊閱讀下一則新聞
5月不只報稅6新制!扣除額加碼、高齡駕駛換照、泰國入境新規一次看