國泰醫院提醒,腦瘤初期症狀多變,容易被忽略,例如視力逐漸模糊、視野變窄,或出現單側聽力下降、耳鳴、臉部麻木等情況,都可能與腦部受壓有關。此外,如果出現吞嚥困難、走路不穩、單側手腳無力,甚至人格改變、記憶力變差,也要提高警覺。部分患者還可能以癲癇發作表現,一般頭痛、失眠不一定是腦瘤,但若症狀持續惡化,就不能輕忽。

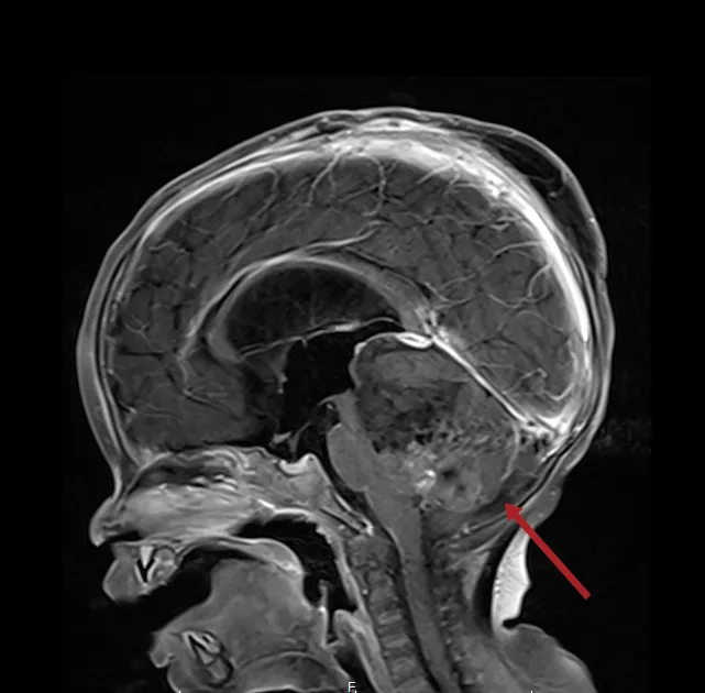
在診斷方面,醫師會先透過病史詢問與神經學檢查評估,再安排影像檢查,如電腦斷層(CT)或核磁共振(MRI),確認腫瘤位置與大小,必要時再進一步做腦血管檢查。治療則以手術切除為主,搭配放射線或化學治療。像口服化療藥物Temozolomide已成為常見第一線用藥,可延長患者存活期;另外也有標靶藥物與免疫療法作為後續選擇。

國泰醫院指出,腦瘤預後與腫瘤種類、位置及治療方式密切相關,部分良性腫瘤可完全治療,但惡性腦瘤整體預後仍不佳,平均存活期約15個月,最嚴重類型5年存活率僅約5%。因此強調「早期發現、及早治療」是關鍵,治療後也需定期追蹤。隨著基因檢測與新療法發展,未來有機會提升治療效果,但現階段仍須提高警覺,出現異常症狀應儘早就醫。

作者簡介

黃泓哲

曾在網路媒體任職,從體育新聞起步,因熱衷追蹤全球醫療大小事,用簡單的文字分享艱澀的醫藥專題,用溫暖的話語在白色巨塔中說真相,專注撰寫醫學、護理、藥品、長照、教育、疾病等相關專題。 To be a journalist is to care deeply for people; to be a good journalist is to turn that care into the pursuit of solutions.


點擊閱讀下一則新聞 點擊閱讀下一則新聞
LINE下載藏陷阱!假官網衝搜尋第一 資安署封9惡意網址