邱先生原以為自己是末梢神經循環不佳,就醫2個月看神經科、疼痛科吃藥無改善,病況持續惡化至膝蓋僵硬、無法彎曲,工作被迫中斷。護理師女兒四處尋醫,最後為父親掛號台中榮總過敏免疫風濕科,才確診罹患又稱硬皮症的全身性硬化症。

台中榮總免疫風濕科顏在弘醫師表示,全身性硬化症是一種少見的自體免疫疾病,在自體免疫疾病中死亡率最高,患者平均死亡率是同年齡層族群的2.7倍。此病好發於女性,發病原因仍不明確,目前已知長期暴露於矽粉塵環境或化學溶劑可能誘發疾病。

初期症狀是在天冷或接觸冰冷物體時,手指會變白或變紫,回暖後恢復紅潤,稱作雷諾氏現象。隨著病情進展,皮膚逐漸變硬、變緊,內臟器官也可能出現纖維化,導致呼吸急促、胃食道逆流,甚至引發肺纖維化和肺動脈高壓等嚴重併發症,肺纖維化是病人最主要的死亡原因,因此及早診斷治療並找出高風險族群至關重要。

全身性硬化症診斷仰賴臨床症狀與抽血檢測自體免疫抗體,臺中榮總自2020年引進新型抗體檢測技術,由原本可檢測3種抗體,擴增至8種,診斷敏感度由60%提升至80%,再搭配傳統抗核抗體檢查(ANA)比對排除偽陽性問題,幫助初期症狀尚不明顯的病人及早治療、控制病情。

顏在弘醫師表示,台灣重大傷病登記全身性硬化症病人約2300人,近年治療藥物發展迅速,逐步突破過去選項有限的困境。國際治療指引已納入生物製劑與抗纖維化藥物,彌補傳統口服藥療效不足,進一步提升整體治療成效與病人預後。提醒民眾若出現雷諾氏現象或不明原因手腳腫脹、皮膚緊繃,應儘早就醫檢查,早期診斷與治療有助控制病情、預防惡化。

邱先生(左3)因在天冷時見手指異常變紫色就醫,在中榮團隊給予免疫調節藥物治療後改善,重返職場。中榮提供
邱先生(左3)因在天冷時見手指異常變紫色就醫,在中榮團隊給予免疫調節藥物治療後改善,重返職場。中榮提供
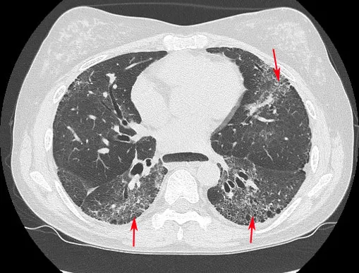
全身硬化症合併肺纖維化(箭頭指處)。中榮提供
全身硬化症合併肺纖維化(箭頭指處)。中榮提供
作者簡介

鮮明

曾先後任職3家平面媒體,跑過許多大大小小的社會新聞,擅長處理讀者投訴、爆料案件,挖掘網路熱門議題,樂於踢爆社會的不公不義。


點擊閱讀下一則新聞 點擊閱讀下一則新聞
專家估「借精需求大增8倍」 喊話8千元捐精營養金該漲了