女童媽媽說,女兒日前先從高燒開始,動輒超過攝氏39度,在診所看診服藥後的第3天轉為咳嗽,仍是高燒不停,轉診到彰化醫院檢驗確定是感染黴漿菌,也引發肺炎,住院治療卻還是持續咳嗽高燒,家人憂心忡忡,經醫師解釋後更換抗生素治療才好轉,住院7天出院,前後折騰10多天,不只是小孩,家長也是備受折磨。

熱門新聞:台中新增1麻疹個案 外地確診者也有足跡!跨年夜2酒吧待6小時

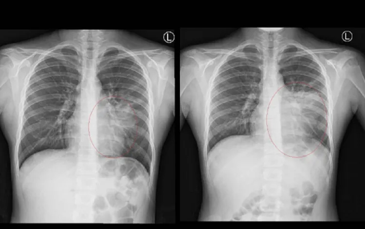
馬瑞杉說,女童轉院來之後,經多病原核酸檢測(PCR)確診是黴漿菌感染,而且其X光片左肺大片反白,顯示為肺炎,因此住院以常規的巨環類抗生素治療,但高燒仍未退,住院3天後的左肺X光片反白範圍更大了,顯示抗生素失效,改用替代的去氧羥四環素 (doxycycline)治療才好轉。

馬瑞杉表示,不只是顏姓女童,最近還有很多孩童個案也都有這類抗藥性的情況而住院,兄弟姊妹間相互傳染而一起住院的案例也不少,顯示醫界憂心的抗生素抗藥性問題越來越嚴重,另有資料指出,這類抗生素的抗藥性在台灣已達60%,上升速度快,而替代的抗生素用在兒童必須要更小心,這種過程造成治療的不確定性,不僅增加患病兒童痛苦,也加重家庭和醫療負擔,醫病關係也造成緊張。

馬瑞杉指出,造成巨環類抗生素的抗藥性原因可能是過度診斷黴漿菌肺炎而輕易開立有關,也造成整個大環境的黴漿菌具抗藥性,若能避免過度使用巨環類抗生素,抗藥性或可逐漸下降。

馬瑞杉說,黴漿菌是一種非典型細菌,目前沒有疫苗可預防,傳染途徑主要為呼吸道飛沫傳染,好發於兒童及年長者,易群聚傳染。黴漿菌和大部分的細菌不同,雖然易造成肺炎,但得病者卻常常精神奕奕,所以常被戲稱為「會走路的肺炎」(Walking pneumonia)。

馬瑞杉強調,日本黴漿菌感染人數創10年新高,民眾旅遊日本要注意,而我國的黴漿菌感染雖然沒有大量攀升,但近幾個月來的人數確實不少,尤其是接下來的農曆過年期間,群聚機會多,要多加預防,最好是勤洗手、在公共場所佩戴口罩、充足睡眠、均衡飲食。

女童住院時X光片(左),接受抗生素治療3天後,X光片反白範圍更大(右)。彰化醫院提供
女童住院時X光片(左),接受抗生素治療3天後,X光片反白範圍更大(右)。彰化醫院提供
彰化醫院小兒科主任馬瑞杉說,農曆過年群聚機會多,要勤洗手、戴口罩、充足睡眠、均衡飲食,防範黴漿菌感染。彰化醫院提供
彰化醫院小兒科主任馬瑞杉說,農曆過年群聚機會多,要勤洗手、戴口罩、充足睡眠、均衡飲食,防範黴漿菌感染。彰化醫院提供
作者簡介

鮮明

曾先後任職3家平面媒體,跑過許多大大小小的社會新聞,擅長處理讀者投訴、爆料案件,挖掘網路熱門議題,樂於踢爆社會的不公不義。


點擊閱讀下一則新聞 點擊閱讀下一則新聞
走路加一招燃脂更快 醫揭「負重行走」效果驚人