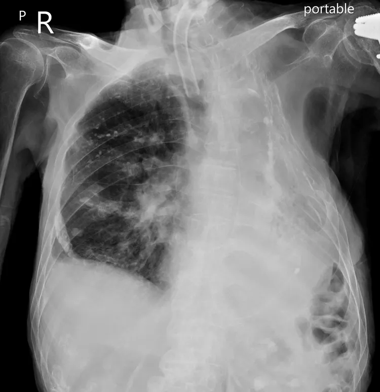
蘇一峰在臉書分享一張X光照片,表示「我病人99歲人瑞爺爺的X光,大家看看他的肋骨發生了什麼事?」隨後並再次發文分享病患過去的治療方式,「你敢相信嗎?外科醫師把病人的肋骨一根一根切下來,足足切了六七根,是為了救他的命」。

蘇一峰透露,民國四十年時,台灣流行肺結核,每年有2萬人死於肺結核,當時沒有什麼有效的藥物,只有一種鏈黴素(streptomycin)自費使用,且價格昂貴,治療下來很多病人傾家蕩產,賣屋賣田,花錢打了針後,還是有很多人治療失敗、不治身亡。

而蘇一峰表示,肺結核的致病菌結核菌是喜歡氧氣的細菌,因此喜歡生長在氧氣充足的肺部,因此醫生想到讓肺部沒有空氣,是否就能治療肺結核,「只要把肋骨打斷取出,讓肺部塌陷空氣不會進出,就能讓肺結核菌活活悶死」。

因此病患在醫生的建議下,動了胸腔整形手術,拿掉了6、7根肋骨,而動了手術後病情漸漸穩定下來,「沒想到還能活到高齡99歲,在醫院遇到胸腔科蘇醫師」,蘇一峰感嘆對方現在失智臥床了,無法說清楚這段歷史,只剩下他身上的治療痕跡。

蘇一峰分享99歲病患的X光照。翻攝蘇一峰臉書
蘇一峰分享99歲病患的X光照。翻攝蘇一峰臉書
蘇一峰曝病患肋骨被切六七根,是為了保命。翻攝蘇一峰臉書
蘇一峰曝病患肋骨被切六七根,是為了保命。翻攝蘇一峰臉書
作者簡介

黃詩淳

曾任網路媒體,喜歡發掘社會大小事,擅長內容撰寫,具備社群經營實務經驗,熟悉數位行銷與網路趨勢。


點擊閱讀下一則新聞 點擊閱讀下一則新聞
想買化妝台撲空!見代購一車一車搬「超失落」 她要好市多給交代