楊醫師解釋,腹腔內的血液循環對腸道健康至關重要,脾靜脈和上腸繫膜靜脈匯合成肝門靜脈,與心臟的下腔靜脈相通。如果這些靜脈阻塞,將導致腸道血液回流受阻,進而引起腸道水腫、血液循環不良,甚至缺血,表現為腹脹、噁心和腹痛。在過去,由於未能及時處置,約有40%的患者因此死亡,而現代醫療技術的進步已使死亡率降至10%以下。楊醫師指出,靜脈栓塞可發生於雙下肢等多處部位,危險因子包括遺傳性凝血異常、癌症、手術、長期臥床等。避孕藥中的荷爾蒙會增加體內凝血因子的濃度,使血栓風險增至正常人的四倍,尤其在有家族史的情況下,風險更高。

靜脈栓塞的診斷依賴症狀及病史詢問,並通過電腦斷層掃描檢查。治療方法包括抗凝血藥物、溶栓手術和取栓手術。大部分患者在抗凝血藥物治療下,80%的血栓可被溶解。溶栓手術或取栓手術的選擇則取決於病情的緊急程度。以張小姐為例,由於她患的是急性靜脈血栓,醫療團隊首先注射24小時的抗凝血藥物,但因其腹痛未解且栓塞範圍廣泛,決定進行溶栓手術。手術過程中,因三條靜脈無法直接給藥,醫師將導管沿腿部動脈送至上腸繫膜動脈,再將藥物注入動脈,由血液回流至栓塞靜脈。24小時後,張小姐的不適症狀顯著改善,血栓部分溶解,最終順利出院,改以口服抗凝血藥物治療並定期追蹤。

 



楊凱文醫師提醒,靜脈栓塞並非罕見,應注意以下幾點來減少其發生風險:

1.保持均衡飲食、適度運動,避免長時間不活動(如長途飛行或乘車)和戒煙。

2.若有慢性疾病,如糖尿病、高血壓、心臟病,應積極管理和控制,定期檢查和回診

3.有血栓家族史或其他高風險因素者,應諮詢醫生進行血栓風險評估,並在必要時採取預防措施。女性在使用避孕藥前,也應諮詢醫師評估風險。

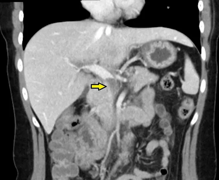
電腦斷層顯示,病人三條靜脈交會處有嚴重血栓。台北慈濟醫院提供
電腦斷層顯示,病人三條靜脈交會處有嚴重血栓。台北慈濟醫院提供
台北慈濟醫院醫師楊凱文。台北慈濟醫院提供
台北慈濟醫院醫師楊凱文。台北慈濟醫院提供
作者簡介

黃泓哲

曾在網路媒體任職,從體育新聞起步,因熱衷追蹤全球醫療大小事,用簡單的文字分享艱澀的醫藥專題,用溫暖的話語在白色巨塔中說真相,專注撰寫醫學、護理、藥品、長照、教育、疾病等相關專題。 To be a journalist is to care deeply for people; to be a good journalist is to turn that care into the pursuit of solutions.


點擊閱讀下一則新聞 點擊閱讀下一則新聞
9強搶北車商場!國家門面要換了 年收50億得標靠3大關鍵(壹蘋10點強打)