這位女患者有血糖、膽固醇過高的病史,但並未規律服藥控制,在急診室做血液和心電圖檢查時,發現她的糖化血色素值高達10.5(正常值小於5.5)、低密度膽固醇值高達251(正常值小於130),而心電圖和心肌酵素檢驗結果高度懷疑急性心肌梗塞發作,故緊急會診心臟血管內科。

熱門新聞:壹蘋10點強打|本屆最年輕立委!黃捷三箭備戰韓國瑜 端牛肉找回「小草」(獨家專訪)

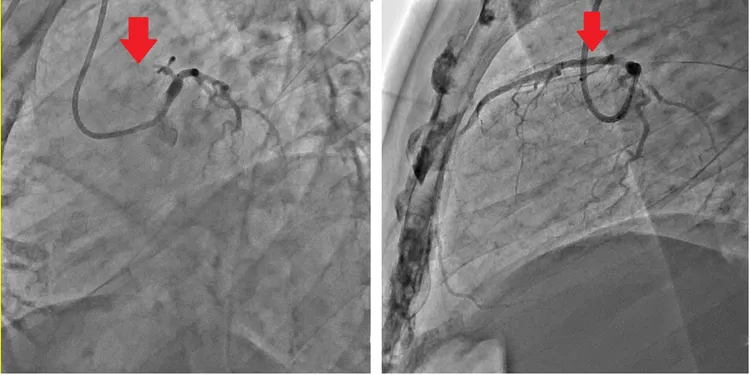
劉昱成醫師表示,血糖值和膽固醇值高,長期下來極易導致心血管病變,此患者心導管影像顯示血管內層不平滑凹凹凸凸,寬窄不一,最狹窄處連顯影液幾乎都流不過去,代表此區血液供應極為不穩定,因為血液流量不足,無法充足輸送足夠的氧氣和養分給該區心肌細胞,故會產生心肌梗塞,嚴重時會危及生命。

中港澄清醫院中心臟血管內科劉昱成醫師說,高血壓、高膽固醇、高血糖的人,是突發性心肌梗塞高危險群,務必要規則服藥控制。院方提供
中港澄清醫院中心臟血管內科劉昱成醫師說,高血壓、高膽固醇、高血糖的人,是突發性心肌梗塞高危險群,務必要規則服藥控制。院方提供

劉昱成認為,由於該患者參加選舉造勢活動,熱情澎湃情緒激昂,使心跳加快,短時間內需要更多血氧的供應,因為她的心血管本已狹窄,一時難於輸送足夠的血氧,所以出現胸痛和冒冷汗情況,這是心肌梗塞前兆的典型症狀之一。

所幸該患者在造勢活動結束後,由友人護送到急診室,經抽血檢查和心電圖檢查後由值班心臟內科接手,經心導管團隊檢查發現在心臟血管左前降支有處最嚴重狹窄的病灶,經心導管的血管內氣球擴張和血管支架置放後,血液立刻暢通,患者不適的症狀也迅速改善,後續住院觀察數天後狀況穩定,現已康復出院。

患者血管嚴重狹窄(左),打通後恢復血流(右)。院方提供
患者血管嚴重狹窄(左),打通後恢復血流(右)。院方提供

劉昱成強調,突發性心肌梗塞往往令人措手不及,高血壓、高膽固醇、高血糖的人是危險群,務必要規則服藥控制,一旦有胸痛、直冒冷汗的症狀,要掌握時間立即求醫,尤其天氣冷熱交替,對心血管刺激最大,是心肌梗塞好發季節,最重要的是,危險群的民眾,最好定期做健康檢查,瞭解自己心血管品質,一旦發現有心血管狹窄情形,由專科醫師評估是否需要進行血管擴張手術,預防心肌梗塞突然侵襲,危及生命。

作者簡介

鮮明

曾先後任職3家平面媒體,跑過許多大大小小的社會新聞,擅長處理讀者投訴、爆料案件,挖掘網路熱門議題,樂於踢爆社會的不公不義。


點擊閱讀下一則新聞 點擊閱讀下一則新聞
走路加一招燃脂更快 醫揭「負重行走」效果驚人