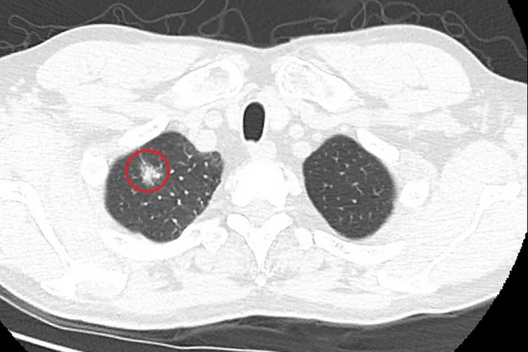
國健署統計,台灣每年新診斷的肺癌超過1.5萬人,其中肺腺癌占比高達70%至80%。台北慈濟胸腔外科醫師洪嘉聰說明,早期肺腺癌多無症狀,X光檢查大多無法發現,通常有症狀時多半已經第三、四期。常見症狀包含胸悶胸痛、呼吸喘、體重減輕等,若出現遠端器官轉移,也可能有腦神經學症狀或骨頭痛。
林先生相當幸運在肺腺癌第一期就發現,目前定期於門診追蹤,無復發之情形。洪嘉聰提醒,有肺癌家族史、抽菸習慣、長期處於空氣污染環境與罹患氣喘或肺結核者,都是肺癌的危險因子。
肺癌蟬聯43年國人十大癌症死因第一位,洪嘉聰表示,「低劑量電腦斷層篩檢」(LDCT)是目前唯一具國際認證,可以早期發現肺癌的篩檢工具,建議具肺癌家族史的50-74歲男性或45-74歲女性,以及50-74歲具重度吸菸史的民眾,每兩年接受一次公費篩檢,以達到早期診斷、早期治療。
 
                                                        
                                                    一般而言,早期肺腺癌以手術治療為主,過去傳統開胸手術,通常會在第五肋間的後側位置劃開約30公分的傷口,再將整片肺葉切除。而如今醫界多傾向胸腔鏡手術,以單孔或雙孔胸腔鏡執行。單孔胸腔鏡手術為透過一3至5公分的側胸切口進入肋膜腔,以釘槍切除病灶所在之肺節並縫合傷口。
雖然胸腔鏡手術優點在於傷口小、疼痛明顯減輕,很大程度保留胸廓的完整性與病人的呼吸功能。但並非所有早期肺腺癌病人都可以接受胸腔鏡手術,洪嘉聰表示,倘若肋膜腔有嚴重沾黏的病人,仍需要以傳統開胸手術治療,才能將病灶安全並完整切除。


爆料信箱:news@nextapple.com
★加入《壹蘋》Line,和我們做好友!
★下載《壹蘋新聞網》APP
★Facebook 按讚追蹤
 點擊閱讀下一則新聞
                                        點擊閱讀下一則新聞
                                        天氣轉冷...感冒患者變多?醫師曝「真正元兇」
                                    
 
                                 
                                            
                                            
                                         
                                     
                                     
                                     
                                     
                                    



