劉香慈高齡懷第三胎,雖然開心,但因為要分神照顧2個兒子,之前透露情緒上也受到影響,「遇到過不去的點,我沒有像之前很容易的排解掉;我會哭,而且需要大哭,一定要哭出來、說出來,而且一哭就停不了⋯⋯」

劉香慈屬於高齡產婦,因此產檢重點之一就是唐氏症檢測,懷孕初期的頸透明帶、鼻梁高度檢查,接著抽血檢查,檢查報告一切都ok,但是近日醫生詢問是否要進一步做羊膜穿刺,並表示政府有補助,是孕婦媽媽的福利,她卻猶豫了。

劉香慈懷孕還要忙照顧2個兒子,訴苦這胎特別累。翻攝劉香慈臉書
劉香慈懷孕還要忙照顧2個兒子,訴苦這胎特別累。翻攝劉香慈臉書

劉香慈表示,三個孩子到羊膜穿刺這一步,「我就止住了」,除了小小擔憂可能流產風險,其實在夜深人靜,她問過自己:「如果孩子檢查出來,不健康的機率高,我還要他嗎?我會因為他基因有缺陷就不愛他了嗎?」

她表示,自己心中有一個堅定的答案,「孩子你來了,跟我有緣分,我們就好好珍惜,不管怎樣我都會把你生下。」

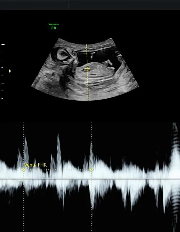
劉香慈開心表示,寶寶心跳聲好迷人。翻攝劉香慈臉書
劉香慈開心表示,寶寶心跳聲好迷人。翻攝劉香慈臉書
劉香慈開心表示,寶寶心跳聲好迷人。翻攝劉香慈臉書
劉香慈開心表示,寶寶心跳聲好迷人。翻攝劉香慈臉書
作者簡介

陳靜文

對眾人之事感興趣,做過報紙、雜誌、網路新聞,平時懶懶散散,遇到重大新聞,魂就來了。


點擊閱讀下一則新聞 點擊閱讀下一則新聞
婦控藥師不幫13歲兒磨藥!醫院強硬發聲:醫事人員專業不容踐踏