判決書指出,今年5月8日晚間10時許,被害者吳姓女子由父親載至軍營,張男則開車尾隨,雙方於軍營大門前停下,正當吳女下車拿行李時,張男竟然基於殺人犯意,從後方猛踩油門朝吳女衝撞,見她倒地不起,竟然不顧吳父阻攔,再次採油門往吳女下半身輾過去。


熱門新聞:獨家|1歲娃公園返家高燒嘔吐 剖腹驚見「腸插這根」


吳父見大事不妙,擔心對方又再次衝撞,奮不顧身敲打張男車窗,並用身體擋在女兒前方,張男見狀才沒有繼續,開車逃離現場。

一旁路人目睹,趕緊撥打119請求協助,救護車到場後將吳女緊急送醫,但因傷勢嚴重,立即轉往台中大醫院急救。

吳女被張男衝撞後,坐臥於吳父車輛左方,張男仍踩油門輾壓吳女。民眾提供
吳女被張男衝撞後,坐臥於吳父車輛左方,張男仍踩油門輾壓吳女。民眾提供
吳父擔心張男再次衝撞,用肉身擋在車前。民眾提供
吳父擔心張男再次衝撞,用肉身擋在車前。民眾提供

警方接獲通報後,1小時內馬上到張男住家逮捕張男,並扣押犯罪車輛,訊後移送南投地檢署偵辦。

面對檢方偵訊,張男辯解不是故意等語,但監視器清楚拍下,顯示張男早有預謀,且2次故意衝撞,根本想致女方於死地,因此檢方訊後依殺人未遂罪起訴他。

這場事故吳女雖撿回一命,但她下半身嚴重受傷,包含骨盆骨折、左側大腿骨骨折、第五腰椎骨折、右側肩胛骨骨折、四肢多處擦挫傷。醫生事後表示,患者康復時間恐怕要長達半年,日後還得持續復健,才有機會恢復原來健康身體。

吳女下半身傷勢嚴重,醫生當時評估,至少需要半年時間康復。民眾提供
吳女下半身傷勢嚴重,醫生當時評估,至少需要半年時間康復。民眾提供
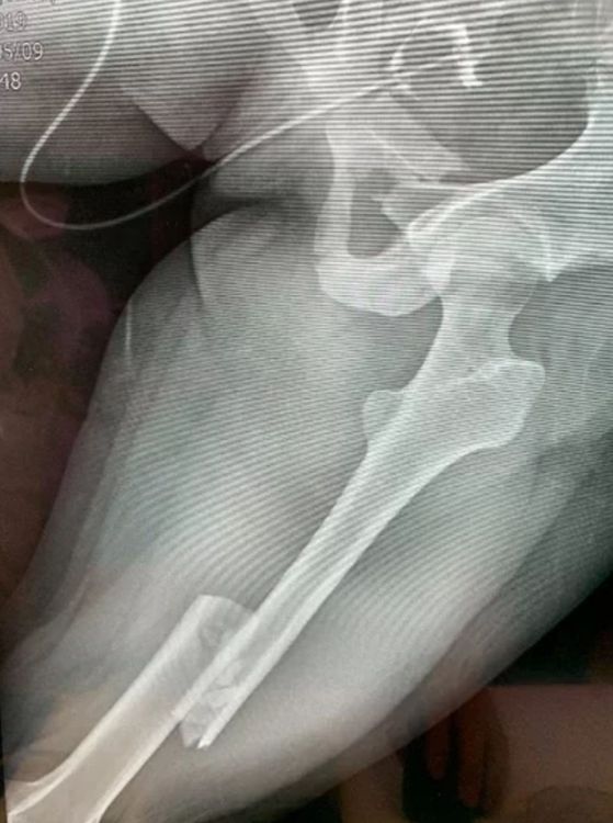
從X光片下發現,吳女骨盆嚴重骨折,會陰部撕裂傷。民眾提供
從X光片下發現,吳女骨盆嚴重骨折,會陰部撕裂傷。民眾提供

一審時,張男先向法官坦承犯案,但卻辯稱,自己是朝吳父車輛衝撞,且他當時沒有看到女方倒地,加上一旁是橋面,他剛好被卡住無法順利開門察看,才會不慎輾對方,沒有要害吳女於死的意思,而離開現場是怕吳父追上來,回家後才想要去自首,剛好警方就來了。

法官看過監視器後,打臉張男說法,法官認為,被告張男兩次衝撞行為,毫無減速,造成被害者極嚴重之傷害,客觀上足以致人於死。

且若知道不慎撞到人,也應該馬上下車查看,認定張男一連串行為,是具有殺人之故意,張男說法根本是卸責之詞,不足採信。

法官考量,雙方雖曾經為男女朋友,關係長達9年,卻因為不滿分手就做出無法挽回的舉動,其手段殘酷,且犯後堅持否認有殺人犯意,未能反省自己過錯,態度難認良好,而至今又未與家屬達成和解,因此處以上述徒刑,可上訴。

★快點加入《壹蘋》Line,和我們做好友!★

按讚追蹤《壹蘋新聞網》各大臉書粉絲團,即時新聞不漏接! ► 壹蘋娛樂粉專

壹蘋新聞網粉專

壹蘋時尚 粉絲團


點擊閱讀下一則新聞 點擊閱讀下一則新聞
壹蘋直擊|中山高豐原段火燒車 紅光烈焰駭人竄天際