「我知道不喝水對身體不好,但還是忍不住要喝手搖飲。」患者說,自己在小吃餐飲店上班,每天上班12小時,因為工作場所很熱,因此,上班前先買兩杯半糖烏龍茶,口渴就喝,幾乎不喝水,連放假也喝飲料,一個月60杯喝好、喝滿。由於中午用餐時間很忙,喝飲料後有尿意,都要憋到工作告一段落,才有時間上廁所。

 

患者自述,之前出現血尿嚇了一跳,趕緊到醫院看診,吃了三天的藥之後,以為病好了,就沒有繼續吃,也沒有後續追蹤,後來莫名發燒,以為是一般的感冒,到住家附近診所看病,卻不見病情好轉,還不斷反覆發燒,因為身體非常的不舒服,趕緊到醫院急診,沒想到病情那麼嚴重。

患者表示,經過這一次生病得到一個教訓,住院期間強迫自己要多喝水,「真的很丟臉,沒想到因為不喝開水而生病,還一度命危害死自己。」他以自身的經歷告訴其他的年輕人,平時一定要多喝開水補充水分,少喝有糖飲料,也不要憋尿,避免身體造成傷害。

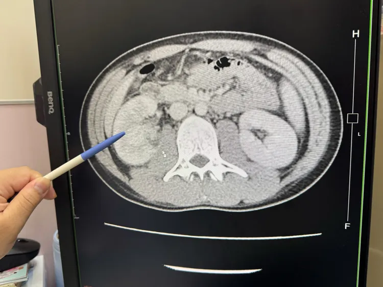
大甲李綜合醫院泌尿科主治醫師黃品叡表示,患者因反覆發燒找不出原因、出現畏寒而自行到急診就醫,檢查後發現,右邊腎臟有兩個0.1公分小的結石,而且右腎腫大是左腎的一倍大,發炎指數飆高到27 mg/dL,是一般正常0.3 mg/dL的90倍,趕緊安排住院治療。

黃品叡說,患者以為自己年輕,一開始到院後還說,「我又沒有什麼不舒服」,沒想到,血壓突然驟降到60幾毫米汞柱陷入昏迷住進加護病房,經過治療後,發炎指數才降下來,卻疑似因昏迷導致肝臟受損,肝指數飆高出現黃疸,治療後才逐漸恢復正常。

黃品叡指出,急性腎盂腎炎是一種常見的上泌尿道感染,腎臟和腎盂受到細菌感染而產生的急性炎症。推斷患者因長期憋尿,平時只喝含糖飲料卻不喝開水,導致腎臟出現結石,在輕忽病症的情況下導致病情加重,甚至引發敗血症。最近天氣炎熱,提醒民眾一定要多喝白開水,少喝含糖飲料。

23歲男子每天喝2杯半糖手搖飲,不喝開水,結果罹患急性腎盂腎炎,一邊腎臟腫大一倍大。大甲李綜合醫院提供
23歲男子每天喝2杯半糖手搖飲,不喝開水,結果罹患急性腎盂腎炎,一邊腎臟腫大一倍大。大甲李綜合醫院提供
泌尿科醫師黃品叡提醒民眾一定要多喝白開水,少喝含糖飲料。大甲李綜合醫院提供
泌尿科醫師黃品叡提醒民眾一定要多喝白開水,少喝含糖飲料。大甲李綜合醫院提供
作者簡介

鮮明

曾先後任職3家平面媒體,跑過許多大大小小的社會新聞,擅長處理讀者投訴、爆料案件,挖掘網路熱門議題,樂於踢爆社會的不公不義。


點擊閱讀下一則新聞 點擊閱讀下一則新聞
目睹碩士班男友被樹壓死 逢甲女學生哭號:叫他都沒回應