患者母親說,女兒在9月初就醫之前,就已經有腹痛、食慾不佳等前兆,只是沒有特別注意,直到當天打電話回家關心病情,才得知她因全身無力跌倒受傷,趕緊通知家人送急診,沒想到一住就是60多天,她嘆說「已經想不起這段時間簽過多少張病危通知單及手術同意書了」,但看著女兒從昏迷到康復,醫療團隊的付出都讓她感念在心。

亞洲大學附屬醫院心臟外科主任劉殷佐說,患者當時因前腹腔和後腹腔腰大肌周邊有多處不明原因感染造成膿瘍送到急診,骨科醫師負責開刀清創及引流,但後續病情持續惡化且出現敗血性休克症狀,狀況十分危急,可說是命懸一線,不得不緊急放置葉克膜維持心肺功能,並告知家人「要有最壞的心理準備」。

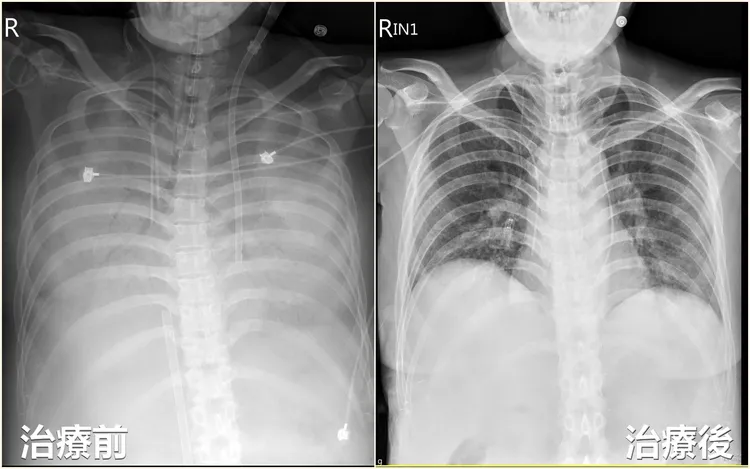
患者因不明原因感染,造成嚴重胸腔及腹腔膿瘍,肺部X光甚至「整片白」。亞大附醫提供
患者因不明原因感染,造成嚴重胸腔及腹腔膿瘍,肺部X光甚至「整片白」。亞大附醫提供

劉殷佐表示,患者雖然勉強維持生命徵象,但腹腔內的膿瘍範圍仍不斷擴大,並從腹部往上延伸,最後連肺臟都失守,胸部X光檢查發現雙側肋膜嚴重積水,「影像上完全看不到肺葉形狀」,只能看到明顯肋骨,評估後決定再放置胸管引流膿瘍,同時採用支氣管鏡灌洗肺泡(俗稱「洗肺」),並做氣切減少呼吸負擔。

經過連續多次引流、洗肺及抗生素治療後,患者狀況才逐漸好轉,住院60多天總算順利拔管出院返家,臨行前母女特地到護理站感謝醫護團隊,患者顫抖地說出:「謝謝大家,我會努力好好活下去,不會讓大家失望」,當場惹哭曾照料過她的護理師。 

患者(中)及母親(後方)出院前特地到加護病房逐一感謝醫療團隊。亞大附醫提供
患者(中)及母親(後方)出院前特地到加護病房逐一感謝醫療團隊。亞大附醫提供
作者簡介

鮮明

曾先後任職3家平面媒體,跑過許多大大小小的社會新聞,擅長處理讀者投訴、爆料案件,挖掘網路熱門議題,樂於踢爆社會的不公不義。


點擊閱讀下一則新聞 點擊閱讀下一則新聞
大膽賭場離警局僅300公尺!基隆警攻堅扣百萬賭資 19名賭客驚見免職警