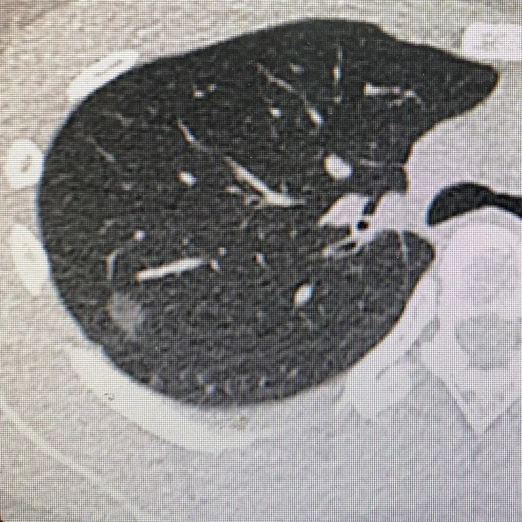
雅薇在個人IG透露,原本她因票選活動被看見感到相當開心,隔天她在自己服務的醫院做健檢,自費加做低劑量肺部電腦斷層(LDCT),做完當下自己用電腦看到一顆充滿敵意的結節,結果醫師告知「這可能惡性」,讓她瞬間晴天霹靂,當天是哭著上班的,一邊流淚一邊處理病人狀況。
雖然後來幸運遇到許多醫療上的貴人,幫她治療的醫師還掛保證開刀後不會轉移,但「我還是無法接受,我還很年輕,我開始跟一般人一樣,瘋狂查詢死亡率、復發率,想著未來這個基因,會不會跟我一輩子讓我提早面對死亡」。
經過醫界前輩學姊的開導,她感到能在30歲提早發現已經很幸運,也慶幸今年自己加做LDCT,否則等一般X光檢查看到,可能已經末期,更感謝好朋友常提醒她記得健檢、要做好傷病保險。
她說,發文不是想得到大家的關心,覺得是該傳達健檢早期發現的重要性,不要只做那種量身高體重測近視抽基本血,該自費的就花下去,好好對待自己!
至於肺癌還是沒有原因,它可能發生在任何一個人身上,而且近幾年年輕化,女生比例也大大提高,自己可能是基因或是空氣污染?不管如何,發生了還是會難過,至少這是一個人生測驗題,而且她還有選擇的機會。「謝謝這幾週聽我哭聽我負面、安慰我、鼓勵我,找資訊給我的你們」。

爆料信箱:news@nextapple.com
★加入《壹蘋》Line,和我們做好友!
★下載《壹蘋新聞網》APP
★Facebook 按讚追蹤
點擊閱讀下一則新聞
跳舞吐舌竟被炎上 正妹coser被迫「向嫦娥致歉」付35萬元代價