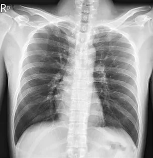
醫師蘇一峰今(12)日在臉書發文,有一名30歲男子在高中大學是體保生,今年一月感染新冠肺炎時只是輕症,但是一周後開始很喘,兩周後變成臥床,一動就喘,接下來連續三個月都不能動,到處檢查都沒有問題,只能坐著輪椅來就診。
「新冠康復後會喘但X光正常?」蘇一峰說,研究發現肺部血流不足,他開立壯陽藥犀利士治療,目前吃藥有效,病人漸漸不喘了!已經正常生活自理,也能站起來了!

爆料信箱:news@nextapple.com
★加入《壹蘋》Line,和我們做好友!
★下載《壹蘋新聞網》APP
★Facebook 按讚追蹤
點擊閱讀下一則新聞
事故瞬間曝光!康橋校車翻覆增至18人送醫 校方緊急回應