大里仁愛醫院腦神經內科朱展麟醫師說,邱男就診時表示最近兩個禮拜內已有三次類似的症狀,有時還會有右邊肢體無力的情形,一次持續時間約幾分鐘即恢復,但這次口齒不清持續時間特別久。 

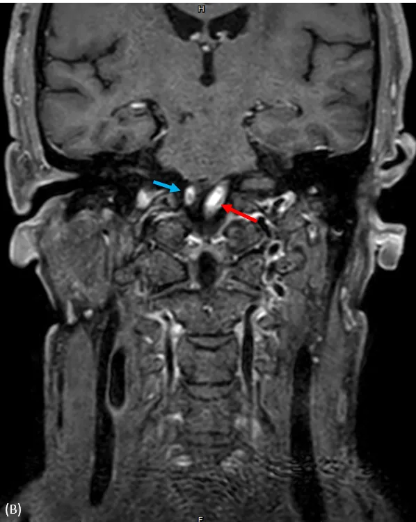
核磁共振血管攝影,顱內左(紅色箭頭)及右(藍色箭頭)椎動脈高度狹窄或是完全阻塞。大里仁愛醫院提供
核磁共振血管攝影,顱內左(紅色箭頭)及右(藍色箭頭)椎動脈高度狹窄或是完全阻塞。大里仁愛醫院提供

經檢查腦中風相關危險因子,發現有高血壓、血液中葉酸及維他命B12偏低。總膽固醇157mg/dL,其中低密度膽固醇為119mg/Dl,住院過程中使用了靜脈點滴、雙重抗血小板藥物、降膽固醇藥、並補充葉酸及維他命B12,來預防中風惡化及復發。

核磁共振高解析度黑血影像,血管有亞急性血栓。大里仁愛醫院提供
核磁共振高解析度黑血影像,血管有亞急性血栓。大里仁愛醫院提供

邱男1個月後回診時,發現有視力失焦的情形。此症狀很可能與椎動脈的高度狹窄或是阻塞,導致腦幹及後腦部的血流供應不夠所致。轉介到合作聯盟的林口長庚醫院,由神經放射科醫師執行進一步的動脈穿刺血管攝影,發現其兩側顱內椎動脈已完全阻塞,經進行導管手術兩天後出院。

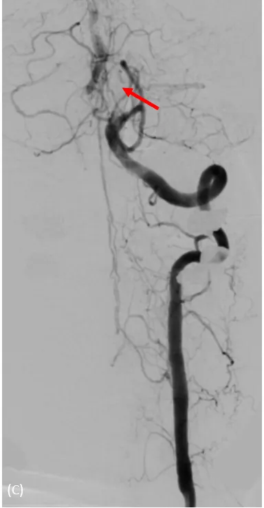
動脈穿刺血管攝影,兩側椎動脈完全阻塞,經由細小分枝供應腦幹的血流。大里仁愛醫院提供
動脈穿刺血管攝影,兩側椎動脈完全阻塞,經由細小分枝供應腦幹的血流。大里仁愛醫院提供

朱展麟提醒,腦中風目前為國人第四大死因,每年有1萬多人死於腦中風。中風所帶來的嚴重後遺症,例如癱瘓、失智、失語症、疼痛、麻木、癲癇等,造成病人及家屬沉痛的負擔。每年政府的長照經費,有6成以上用於照顧腦中風患者,加上個人及家庭的花費,國人每年用於腦中風的治療與照護相關費用約1000億。

動脈穿刺血管攝影,兩側椎動脈完全阻塞,經由細小分枝供應腦幹的血流。大里仁愛醫院提供
動脈穿刺血管攝影,兩側椎動脈完全阻塞,經由細小分枝供應腦幹的血流。大里仁愛醫院提供

朱展麟醫師強調,根據統計,所有的中風個案初次中風約佔3/4,再次中風約佔1/4;研究也顯示,約90%的中風是可以預防的。因此,透過改善不良的生活習慣,例如多運動、健康的飲食、以及控制好腦血管疾病相關的慢性病危險因子,便能大幅降低中風的風險。民眾若擔心有腦血管疾病相關的危險因子,可至醫院做進一步的檢查及治療。

支架置放於左側椎動脈後,血流改善許多。大里仁愛醫院提供
支架置放於左側椎動脈後,血流改善許多。大里仁愛醫院提供

「壹天壹蘋果」2.0版由最專業記者為你遍訪名醫,為你的健康把關。常看「壹天壹蘋果」,常保健康不老。

★快點加入《壹蘋》Line,和我們做好友!

★下載《壹蘋新聞網》APP

★FB按讚追蹤《壹蘋新聞網》各大臉書粉絲團,即時新聞到你手,不漏任何重要新聞!

壹蘋娛樂粉專

壹蘋新聞網粉專