劉永川醫師表示,膝關節脫臼是相對罕見的創傷,常發生在車禍和高處墜落等嚴重創傷的病人身上。膝關節脫臼有很高的機會造成血管及神經損傷,在第一時間將膝關節復位後需要密切觀察,若有血液循環不良或脈搏減弱時,則要再進一步使用電腦斷層詳細檢查下肢血管是否有損傷或血栓。

陳男膝關節鏡檢查前後十字韌帶都斷裂。大里仁愛醫唍提供
陳男膝關節鏡檢查前後十字韌帶都斷裂。大里仁愛醫唍提供

他指出,一般急性的膝關節脫臼合併韌帶斷裂會造成嚴重的組織腫脹,進而影響膝關節能彎曲的程度而提高手術的困難度。因此在膝關節復位後使用石膏或輔具保護等待消腫,一般約在3周內安排手術重建比較安全。安排高壓氧治療除了可以有效改善軟組織腫脹的情況,也可以提供受傷軟組織充足的氧分壓促進傷口癒合。

陳男半月板斷裂。大里仁愛醫院提供
陳男半月板斷裂。大里仁愛醫院提供

許煥醫師表示,同時多條韌帶斷裂時需要取病人自己雙腳的大腿後側肌腱、股四頭或腓骨長肌來重建韌帶。目前也有異體韌帶可供使用,可以減少取肌腱處的傷口和不適。當病患有合併半月板破裂時,醫師也會根據半月板破裂的型態和位置,選擇適當的修補方式。

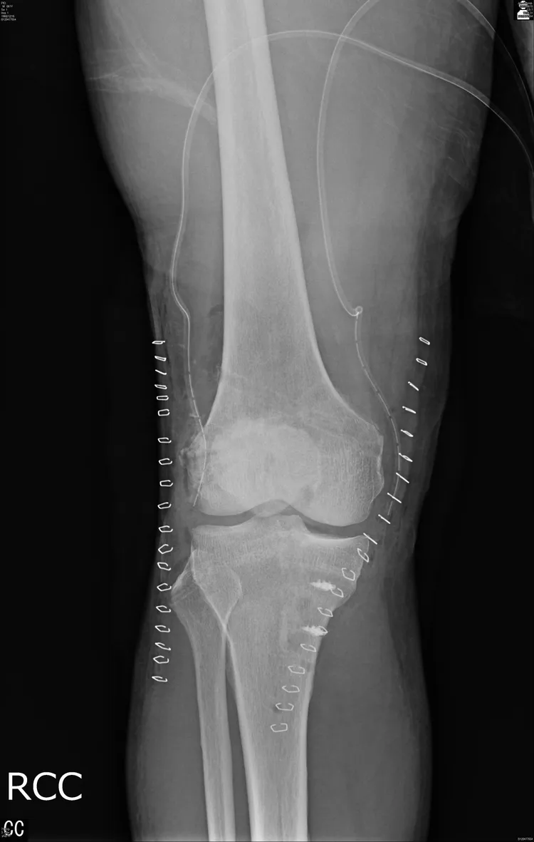
經手術後修復的膝關節。大里仁愛醫院提供
經手術後修復的膝關節。大里仁愛醫院提供

劉永川強調,透過韌帶重建及半月板修補可以重建穩定的膝關節進而避免日後膝關節提早退化的發生。然而,膝關節脫臼合併多重韌帶斷裂及半月板破裂的手術治療難度相當高。常見的併發症包括關節僵硬或不穩定、腔室症候群和神經血管損傷等。民眾應該尋求專業的骨科醫師評估及早就醫並進行完善的手術治療,是減緩傷害的不二法門。

「壹天壹蘋果」2.0版由最專業記者為你遍訪名醫,為你的健康把關。常看「壹天壹蘋果」,常保健康不老。

★快點加入《壹蘋》Line,和我們做好友!

★FB按讚追蹤《壹蘋新聞網》各大臉書粉絲團,即時新聞到你手,不漏任何重要新聞!

壹蘋娛樂粉專

壹蘋新聞網粉專


點擊閱讀下一則新聞 點擊閱讀下一則新聞
打擊犯罪超給力!彰警緝毒千餘公斤阻詐4億 200警獲表揚