壯年男高空作業意外身亡 母含淚成全器捐 大愛救5人性命
...會在上周六舉行,奇美醫院副院長郭行道表示,為了感念器捐者及家屬的大愛,特別邀請捐贈者家屬、受贈者及醫...
...會在上周六舉行,奇美醫院副院長郭行道表示,為了感念器捐者及家屬的大愛,特別邀請捐贈者家屬、受贈者及醫...
這名大愛器捐的男子,捐出2顆腎臟、心臟與肝臟,2顆腎臟留在宜蘭,陽明交通大學附設醫院立即展開移植手術...
【記者葉先鵬/宜蘭報導】宜蘭一名59歲婦人先前因意外導致頭部受傷,經救治後仍於今天(4日)在羅東聖母醫院被宣判腦死,由於婦人曾簽屬器官捐贈同意書,因此家屬為了尊重其遺願同意啟動捐贈程序,稍早國道警方接獲通報後,立刻派出巡邏車協助救護車運送器官,並於17時許順利完成任務。
...要轉移到眼部的機率較低,為了確認我全身上下唯一可以器捐的部位萬無一失,一兩個月前我自費做腦部核磁共振...
...昨天(23日)長庚醫院判定腦死後,家屬只能悲痛決定器捐;事後邱女家屬也在臉書社團將蘇姓男子全名公布,...
...醫院器官捐贈與移植團隊得知這項大愛決定後,立刻啟動器捐流程,緊急配對、評估器官可用性,動員內外科、手...
【記者莊曜聰/高雄報導】被外界視為「分屍魔」的73歲男子張介宗,從去年底到今年2月間,涉嫌殺害黃姓大嫂、張姓、趙林姓婦人還殘忍肢解、棄屍,檢方從打撈出的3人頭顱、屍塊、皮膚及相關監視器畫面,認定他罪嫌重大,日前依殺人、遺棄屍體等罪起訴並求處3個死刑,高雄地院今天上午召開程序準備庭,張介宗情緒冷靜,宣稱自己幾年前簽下器官捐贈已「與世無爭」,怎麼可能殺害親人跟熟識朋友,騎腳踏車只是「健身」,出席的3名被害者家屬聽聞張男說詞,沉默不發一語。
...擊受傷,送往柳營奇美醫院經過6天搶救,家屬決定拔管器捐。總統府發言人郭雅慧表示,總統賴清德聞訊後深感...
...[「分屍魔」張介宗不認殺3婦人 稱騎車是健身!已簽器捐要法官速審](https://tw.nexta...
...植外科醫師鍾孟軒近日近日在節目《醫師好辣》中分享一器捐案例,一名大愛捐贈者捐贈器官給3人,2\~3年...
...制度與倫理的保障下進行。 羅東博愛30多年來推動器捐實績,參與合作之院所遍布全台自1991年起,羅...
...兩次判定腦死的病患,阿嬤不捨孫子受苦,希望快點完成器捐,因為不忍心看著愛孫插著管子,多躺一天。 但...
【即時中心/綜合報導】國民黨因不滿黃呂錦茹等人遭約談,17日包圍北檢抗議,網紅「四叉貓」也前往直播,引發藍營支持者不滿,不停朝他辱罵,甚至直接從他頭上澆灑飲料。台北市刑大經檢視蒐證影帶後,19日循線逮捕2名男子,訊後依《社維法》逕行裁罰。
[推薦新聞:壹蘋10點強打|17歲陽光女孩腦死!器捐救10條人命 母忍淚完成愛女遺願 「她是個溫暖勇...
...。家屬友人說,這對夫妻求子8、9年才懷孕,如今同意器捐孩子的心臟遺愛人間,也希望大家注意小小孩被口罩...
...二度腦死,家屬只能黯然接受,並遵從劉員生前意志進行器捐,捐出包括肝心脾肺腎等器官,造福許多病患。 ...
**台灣仍有破萬人等待器捐 ICU醫師曝生死接線員暖心舉動** 陳志金醫師日前分享了一個感人的器官...
...理事長江仰仁表示,2023年截至7月底已有233人器捐,預期今年應該可以超過300人。 林釀呈表示...
【黃詩淳/綜合報導】藝人汪建民7日因肺腺癌離世,而他生前留下的鉅額債務該如何處理,也成為焦點,據悉,他還在住院未過世時,要債訊息就已找到女友Joan,讓Joan一度冒出「想跟他一起走算了」的想法,但想到有自己的家人和工作才打消念頭,而汪建民生前曾簽器官捐贈同意書,但因為考量身體都是癌細胞,因此只有眼角膜可用。
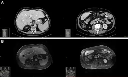
【周恩華/綜合外電】美國發生一起驚悚又令人遺憾的器官捐贈醫療案例,一名善心人士去世,遺願捐贈器官。其中,他的肝臟受贈者卻在手術後4個月,在肝臟檢查出2個腫瘤;更令人震驚的是,腫瘤確診是癌症後,快速擴散到全身,形成侵略性極高的「轉移性癌症」。移植手術後約半年,受贈者就因癌症而病逝。