打B肝疫苗竟能防糖尿病!北醫大研究:年輕人保護力最強降20%
這項研究由北醫大考科藍台灣研究中心主任陳杰峰帶領,團隊利用全球醫療資料平臺「TriNetX」,分析1...
這項研究由北醫大考科藍台灣研究中心主任陳杰峰帶領,團隊利用全球醫療資料平臺「TriNetX」,分析1...
...EBABF7E4535B86ABD7469B) 北醫大校長吳麥斯指出,橄欖球強調團隊精神、挑戰自我...
...,才能在對的時間吸引合適投資人,帶來更多附加價值。北醫大生醫加速器副執行長易詩恩則指出,生醫新創常面...
Muse Girls新賽季除了有韓援加盟外,「北醫大淘氣女神」彭彭、「零死角女神」岱縈也正式加入團隊...
緯創醫學的研發團隊與北醫大的醫護團隊合作,由北醫大校長吳麥斯領軍,與北醫大醫工學院助理教授蔡承育、雙...
研究由北醫大營養學院夏詩閔主任領導,結果顯示,三氯蔗糖會造成睪丸細胞DNA受損、活性氧(ROS)增加...
自2023年起,北醫大體系就積極與台灣永續能源研究基金會合作,簽署了「醫院永續發展倡議書」,展現出對...
...及離島澎湖、金門醫院等26家醫院與療養院代表,以及北醫大體系的北醫附醫、萬芳醫院及雙和醫院院長,超過...
...E3E63E305A7A6E4D5D4E)** 北醫大董事長陳瑞杰指出,台灣面臨老房、老宅的「雙老...
教育部則證實,已了解北醫大雖已調查完成,但在報部核准停聘前就同意其復職,且未採取相關隔離措施,恐影響...
【記者黃泓哲/綜合報導】台北醫學大學及其附設醫院在史瓦帝尼王國的醫療合作已有15年歷史,持續推動「授人以漁」的理念,幫助史瓦帝尼醫療體系邁向自立。自2019年起,北醫開始執行一項為期6年的教學計畫,已完成近500場教學課程,並成功協助建立史瓦帝尼的「國家醫學考試制度」。目前,已有154位當地醫師通過此制度認證,為史瓦帝尼的醫療發展奠定了穩固基礎。
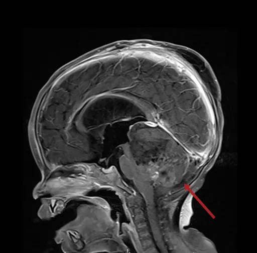
北醫大台北癌症中心兒童腦瘤團隊召集人黃棣棟表示,ATRT是非常罕見的惡性腦瘤,通常好發三歲以下幼童,...
...罰,「但側翼與史書華大翻車,造謠抹黑羅東博愛醫院與北醫大為中國同路人,對民眾摘取器官,要民眾不要看病...
...君琳表示,大體老師的供應情況依據各學校情況不同,以北醫大來說,雖每年可收到15到16位大體老師,但光...
【記者黃泓哲/綜合報導】資深名嘴張友驊日前在颱風天外出散步時不慎跌倒,頭部重創後送醫急救。經過8天的搶救與昏迷,今日(11日)傳出張友驊不幸去世的消息。台北醫學大學附設醫院晚間證實張友驊已經離世,但對於具體治療過程則未多加說明。
...(49件)、中興大學(48件),前十大均為國立大學,台北醫大(47件)晉升私校第1,學校排序第11。
...周後回診才發現感染,已錯過治療時機,終致失明。 北醫大與印度海德拉巴大學(University o...
【生活中心/台北報導】台北醫學大學副教授蕭宇成涉嫌詐領勞動部舉辦的「百萬創客擂台競賽」獎金近百萬元,昨遭新北地檢署會同廉政署搜索,訊後依加重詐欺罪嫌諭令蕭男45萬元交保。勞動部表示,將配合司法偵查並追償已核發獎金及損害賠償責任,他擔任評審委員,涉嫌「球員兼裁判」和人合作詐財。
【記者黃泓哲/綜合報導】2024年台灣醫療科技展今(5日)起在南港展覽館登場,北醫附醫以「急性醫療(Acute Care)」、「門診與遠距醫療(Ambulatory Care)」、「尖端醫療(Advanced Care)」為主軸,展示多項AI智慧醫療成果與創新長照技術,吸引民眾目光。從腦震盪AI輔助系統到全國最完整的機器人復健中心,北醫尖端醫療服務啟發未來無限可能。
...仲峯原任北醫附醫院長、北醫附醫放射腫瘤科主治醫師、北醫大醫學系教授等職,楊智惠除義守大學生技系教授、...