烏日林新醫院癌症中心主任暨胸腔內科主治醫師許人文表示,一名30歲在新竹上班的OL王小姐,首次確診新冠肺炎一天內就急速演變成重症,經X光檢查顯示肺部受到重度感染引起兩側「白肺」,出現急性呼吸窘迫症造成嚴重缺氧,檢驗一度為退伍軍人症肺炎陽性反應,緊急入住加護病房,服用抗病毒藥物與抗生素,住院13天目前已順利出院。所幸送疾管局檢驗,今天報告出爐為陰性,並非感染退伍軍人肺炎症

熱門新聞:台鐵爆凶殺命案!加油工辦公室遭爆頭重擊血流數公尺 疑熟人所為

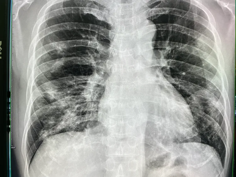
另名台中55歲登山好手施先生,確診前幾天曾登百岳夜宿山莊,返家後確診染疫,也有發燒等不適症狀,雖然新冠病毒已經陽轉陰,仍持續發燒、胸悶易喘,來醫院做X光檢查,肺部竟出現嚴重實質性浸潤,經抽血檢驗也一度以為是感染退伍軍人症菌所造成的肺炎,經以抗生素持續治療,住院10天後獲得改善,而今天疾管局檢驗結果也排除感染退伍軍人肺炎症。

施先生肺部X光出現嚴重實質性浸潤。烏日林新醫院提供
施先生肺部X光出現嚴重實質性浸潤。烏日林新醫院提供

許人文說,「退伍軍人症肺炎」屬於非典型肺炎病症,首次出現在1976年,美國費城舉辦的退伍軍人會議,當時超過200人罹患肺炎,最終導致34人死亡。一旦被退伍軍人菌感染後,約二至十天左右,會出現發燒、咳嗽、多痰、呼吸困難等肺炎症狀,嚴重時甚至會咳血併發多重器官衰竭,死亡率達12~15%。  

許人文說,「退伍軍人症肺炎」是經由吸入或嗆入含有退伍軍人菌的氣霧或水滴而致病。退伍軍人菌易躲藏在大型建築物內的淋浴間噴頭、水龍頭、熱水浴缸、冷卻塔、或中央空調管道系統中,台灣氣候濕熱,空調系統中冷卻水塔是常見基本設施,頂樓常有蓄水池,若供水管線老舊或久未使用,易有沉澱物和形成生物膜,是退伍軍人菌生長的好地方,定期清洗及消毒,是降低感染風險的最佳作法。

施先生回診與醫師合影。烏日林新醫院提供
施先生回診與醫師合影。烏日林新醫院提供

他說,退伍軍人菌容易侵犯有慢性疾病與任何免疫力低下的人,如:糖尿病、慢性肺病、腎臟病、癌症、接受器官移植者、與接受類固醇治療的患者,但不易診斷,加上與新冠肺炎症狀非常類似,若未及時查覺發生合併感染,延誤治療不僅會導致病情惡化,更可能致命,不可不慎

作者簡介

鮮明

曾先後任職3家平面媒體,跑過許多大大小小的社會新聞,擅長處理讀者投訴、爆料案件,挖掘網路熱門議題,樂於踢爆社會的不公不義。


點擊閱讀下一則新聞 點擊閱讀下一則新聞
立委陳以信搬數據批台南「慶記之都」 市議員反譏不用心又愛唱衰