亞洲大學附屬醫院耳鼻喉科主治醫師陳厚匡表示,「耳硬化症」(Otosclerosis)是一種影響聽力的疾病,常見於中年女性,且多數患者的病情發展緩慢,初期症狀並不明顯,隨著病情加重,患者聽力逐漸下降,因為症狀改變緩慢,往往會被認為是老化的正常狀況,因而失去治療黃金時間。

熱門新聞:老師報案抓小六生!雙方和解卻害警員被處分 律師點出「錯在這」

以該名患者為例,她就診時自述左耳聽力逐漸衰退,還伴隨耳鳴,不僅電視音量越開越大,也常聽不清楚家人的對話,甚至跟丈夫吵架時,往往越吵越用力,夫妻感情逐漸失和,子女們擔心狀況惡化,於是堅持帶她看醫師,「不然每天雞犬不寧也不是辦法」。

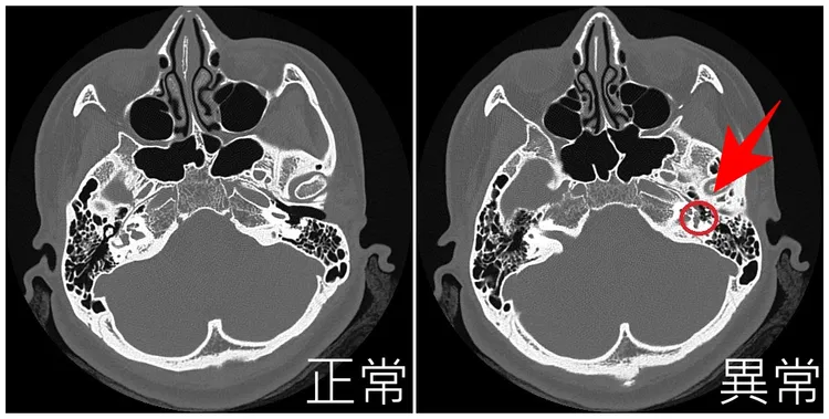
陳厚匡指出,患者到院後,先詢問其病史、聽力下降時間及相關家族史,並安排理學檢查與聽力檢查,確認是「傳導性聽力損失」而非「感音神經性聽力損失」,之後藉由CT斷層掃描,排除可能病因如中耳炎或中耳腫瘤後,果然在鐙骨底板發現中耳骨質病變,確認是「耳硬化症」惹的禍。

陳厚匡強調,耳硬化症典型特徵是鐙骨周圍緻密骨頭結構改變,病變骨頭被吸收後,由海綿狀血管性骨骼取代,最後形成硬化骨質取代海綿狀骨骼,此異常骨骼生長可能會導致鐙骨底板發生機械性固定,並破壞聽骨鏈傳遞聲音,使得聲音無法有效傳遞至內耳,從而造成傳導性聽力損失。

經統計,耳硬化症常見於白種人,並以女性患者較多(臨床上女性比男性約為二比一),常見症狀是聽力變差及耳鳴,聽力變化是漸進性聽力受損且通常兩耳為不對稱的聽力表現,發生年紀多為三十至四十多歲,初期多以40-60分貝的傳導性聽力受損,但仍有10%病人會進展至混和性或感音性聽損;第二個常見症狀為耳鳴,約有一半以上的病人會發生耳鳴,可能為嗡嗡聲、嘶嘶聲、蟬叫聲等,另其它較少見的症狀包括頭暈、平衡感變差。

陳厚匡提醒,若患者聽損屬於輕微程度或不適合接受手術,可根據需求選擇助聽器協助,以調整其音量和音質達到最佳效果,並定期追蹤聽力檢查監測病程進展,至於「鐙骨手術」(又稱耳硬化症手術)需將病變的鐙骨部分截除,並替換為人工聽小骨來改善聲音的傳導,經驗豐富的外科醫師進行手術時,成功率可以高達80%以上,此患者術後左耳聽力大幅改善,也避免依賴助聽器。

陳厚匡呼籲,耳硬化症有可能會進展至耳蝸內耳,造成更嚴重的聽力受損,加上另一耳也有發病風險,建議術後務必長期追蹤和監測,才能及時掌握病情變化,否則聽力可能會持續加劇,影響到日常生活,民眾若發現常聽不清楚對方講話或自己越來越大聲,都可能是聽損前兆,可就醫檢查,預防病情惡化。

耳硬化症是因鐙骨骨質海綿化及硬化(圖右),導致出現傳導性聽力損失。亞大附醫提供
耳硬化症是因鐙骨骨質海綿化及硬化(圖右),導致出現傳導性聽力損失。亞大附醫提供
作者簡介

鮮明

曾先後任職3家平面媒體,跑過許多大大小小的社會新聞,擅長處理讀者投訴、爆料案件,挖掘網路熱門議題,樂於踢爆社會的不公不義。


點擊閱讀下一則新聞 點擊閱讀下一則新聞
瓊瑤住家輕生亡!秘書前1天已收離世文 律師:恐涉遺棄罪