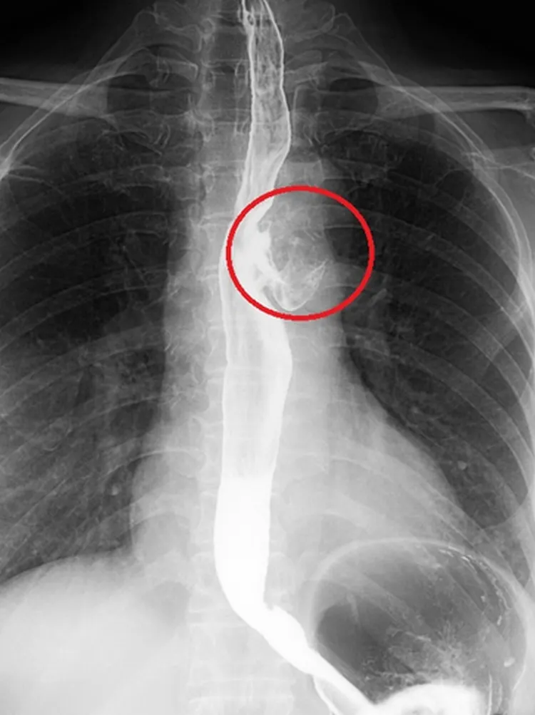
食道憩室是由於食道壁肌肉在吞嚥時受到食物推擠壓力,形成突出的空腔。食道憩室可依位置分為上段、中段和下段,症狀包括吞嚥困難、嗆咳、胸痛及口腔異味等。若不及時處理,憩室可能反覆發炎,甚至引發吸入性肺炎等併發症。據謝旻孝主任介紹,食道憩室發生率低,且沒有特定的好發族群。根據國外文獻統計,每十萬人中大約有2至3人可能會出現食道憩室的問題。

推薦新聞:壹蘋10點強打|陳昊森御姊控轉性撩妹!性愛喜劇女星同進出 情侶裝招搖(狗仔直擊)

診斷食道憩室通常需要通過胃鏡進行初步檢查,若發現結構異常,則會進一步安排食道攝影及電腦斷層,確認憩室的位置及大小。謝旻孝主任指出,針對較小的憩室,醫師可以採用整形手術將憩室推回食道並縫合,補強食道壁結構,減少復發風險。而對於較大的憩室,則需要進行切除手術。現今胸腔鏡技術已經相當成熟,手術傷口小、病人疼痛度低,且預後效果良好,復發率接近於零。

謝旻孝主任提醒,雖然食道憩室不常見且無特定好發族群,但建議民眾養成良好的飲食習慣,如細嚼慢嚥及適量飲食,以減少吞嚥時食道受到不平均壓力的風險。此外,若出現吞嚥困難、胸悶胸痛或口腔異味無法消除等症狀,應儘早就醫檢查,尋求專業診斷及治療。

61歲婦人食道長「憩室」。台北慈濟醫院提供
61歲婦人食道長「憩室」。台北慈濟醫院提供
台北慈濟醫院主任謝旻孝。台北慈濟醫院提供
台北慈濟醫院主任謝旻孝。台北慈濟醫院提供
作者簡介

黃泓哲

曾在網路媒體任職,從體育新聞起步,因熱衷追蹤全球醫療大小事,用簡單的文字分享艱澀的醫藥專題,用溫暖的話語在白色巨塔中說真相,專注撰寫醫學、護理、藥品、長照、教育、疾病等相關專題。 To be a journalist is to care deeply for people; to be a good journalist is to turn that care into the pursuit of solutions.


點擊閱讀下一則新聞 點擊閱讀下一則新聞
把握明日好天氣!回暖最高33度 注意焚風、霧影響航班