林先生在台灣都是到專科診所就醫拿藥控制高血壓,到中國大陸工作了10多年後,被診斷出罹患糖尿病,但病情在當地醫療院所拿藥控制得並不理想,整個人又累又喘,總覺得心臟有一股無力感,考慮後決定趕快回台灣做進一步檢查。

黃民評醫師診斷林先生是心臟衰竭,但因他年紀輕輕就有高血壓,研判「可能有其他問題」,進一步安排抽血結果有低血鉀情形,接著進行電腦斷層檢查,竟然在腎上腺發現一顆腫瘤,這是由腎上腺分泌的荷爾蒙所形成的腫瘤,除了會造成高血壓影響心臟功能之外,還會干擾體內代謝導致胰島素的阻抗變強,因此讓林先生的血糖變得難以控制,心臟長期以來經歷如此折磨就變成了心臟衰竭,幸好在切除腫瘤後,血壓、血糖以及心臟衰竭的控制已經大幅改善。

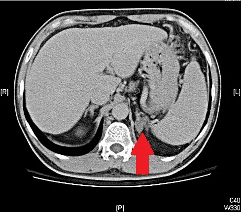
經電腦斷層發現,病患左側腎上腺出現腫瘤 (紅色箭頭處)。院方提供
經電腦斷層發現,病患左側腎上腺出現腫瘤 (紅色箭頭處)。院方提供

黃民評說,人體心臟像馬達一樣,除了專責推送血液流動,也將營養與氧氣等送至體內,提供人體所需,如果發生心臟衰竭時,會降低血液的供應量,即引發包括:疲倦、喘及下肢水腫等症狀,當心臟衰竭更嚴重時,甚至會導致呼吸衰竭以及急性腎臟損傷等情形。

黃民評說,三高(高血壓、高血糖、高血脂)病人屬於心臟衰竭的高危險族群,建議民眾應該定期量血壓和體重,心臟衰竭的病人要注意飲食營養攝取均衡,建議可採取少糖、少油、少鹽、少吃加工肉類品、多吃蔬菜,而且攝取適當水份和鹽份的原則。另外,病人亦需要做適當的運動,定期回診追蹤病情,遵照醫囑吃藥,隨時注意身體狀況,確保自身健康。

黃民評醫師建議心臟衰竭病人應注意飲食營養攝取均衡,適當運動,定期回診追蹤病情。院方提供
黃民評醫師建議心臟衰竭病人應注意飲食營養攝取均衡,適當運動,定期回診追蹤病情。院方提供
作者簡介

鮮明

曾先後任職3家平面媒體,跑過許多大大小小的社會新聞,擅長處理讀者投訴、爆料案件,挖掘網路熱門議題,樂於踢爆社會的不公不義。


點擊閱讀下一則新聞 點擊閱讀下一則新聞
才出廠3月!新車國道突「動力全失」釀1死5傷 逆轉!「外力破壞」讓工人「有罪變無罪」