光田醫院心臟內科夏治平主任說,王先生有吸菸史,曾經每天2包菸的他,之前也曾下定決心戒菸戒了1年多,然而由於工作性質需要與人交際互動,菸又慢慢地抽回來;此外,因工作常常需在外跑行程,只能犠牲就醫時間,導致中斷用藥。心肌梗塞之所以反覆發作,正是因為他「抽菸」與「中斷用藥」所導致。

夏治平說,心肌梗塞有六大高危險因子,包括罹患三高、家族史與抽菸習慣以及壓力過大,而王先生幾乎「全中」,而原本應該好好控制各種危險因子的他,又因為工作比較忙碌,常忽略對慢性病的控制。

光田綜合醫院心臟內科夏治平主任說,三高、家族史、抽菸、壓力過大,是容易引起心肌梗塞的危險因子。院方提供
光田綜合醫院心臟內科夏治平主任說,三高、家族史、抽菸、壓力過大,是容易引起心肌梗塞的危險因子。院方提供

夏主任進一步解釋,患者之前的低密度膽固醇(俗稱壞的膽固醇)曾高達156,後來經過控制曾降到90,然而發病前低密度膽固醇又回到140-150左右。此外,王先生容易忘記或中斷服藥,用藥控制成效不佳,也是造成他多次發病的原因之一。幸好王先生每年仍會抽空做健檢,此次健檢發現心臟血管阻塞後,立即就醫做心導管手術,術後狀況穩定。

夏治平表示,患者12年來大概發作了6次的急性心肌梗塞,還好每次都有搶救回來;不過也因為心肌梗塞發作的次數多,使得他成為光田院內心臟支架裝設最多根的「紀錄保持人」,前後共裝了10根支架。

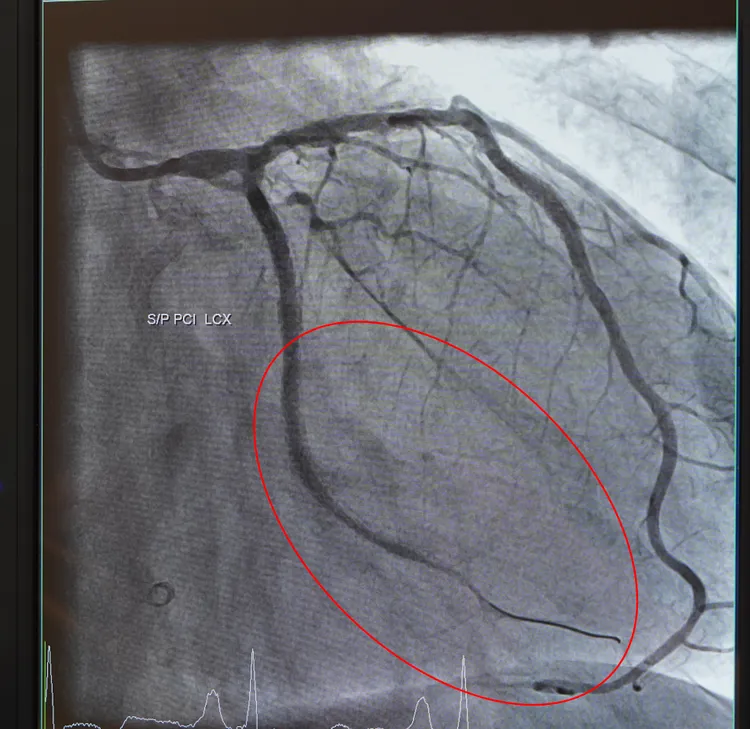
王先生通過健檢,發現心血管阻塞處。院方提供
王先生通過健檢,發現心血管阻塞處。院方提供

王先生表示,在平時的生活中,裝設心臟支架並沒有太多不適的感覺,只是因為心血管較脆弱,所以爬樓梯跟爬山較容易喘。他不但感謝夏治平醫師的仁心仁術,也奉勸有心血管病史的患者要戒菸,且要定時就醫服藥,才能防止心肌梗塞反覆發作。

除了戒菸與定期就醫服藥,夏治平也建議心血管患者,盡量培養運動習慣,65歲以上的患者,更要每年定期健康檢查,像王先生此次就因為健檢之故,早一步找出心血管阻塞而及早處理,因此每年健檢絕對不能輕忽,如此才能好好維持健康。

作者簡介

鮮明

曾先後任職3家平面媒體,跑過許多大大小小的社會新聞,擅長處理讀者投訴、爆料案件,挖掘網路熱門議題,樂於踢爆社會的不公不義。


點擊閱讀下一則新聞 點擊閱讀下一則新聞
前少棒三冠王陰經龍殺女友發監 卻因這原因遭監獄拒收