65歲的童先生到光田醫院求診時,腎臟科張家築副院長考量病患已長時間未追蹤病情,為其安排整體性檢查,從尿液檢查得知童先生有顯微性血尿的症狀,此外,腎臟超音波更發現右側腎臟已屬重度腎水腫,且他沒有明顯疼痛,反而更危險,先進行X光檢查後排除結石問題,再為其進一步安排腹部電腦斷層探知,右側輸尿管中段有明顯腫瘤,便安排泌尿科會診,後續做完輸尿管內視鏡切片方確診為上泌尿道上皮癌。

泌尿外科鄭嘉緯醫師說明,上泌尿道上皮癌位置包含腎盂或輸尿管,正如膀胱癌一般,常會伴隨無痛性血尿,沒有其他明顯症狀,部份病情嚴重病人會排出長條形血塊,更是警訊。常見的風險因子有基因遺、抽菸(增加3-7倍的罹癌機會)、長時間接觸有機溶劑、中草藥中含有馬兜鈴酸的物質(如廣防己、青木香、關木通、天仙藤)、或是腎臟輸尿管的慢性發炎或慢性腎臟病,都會增加罹癌的機率。

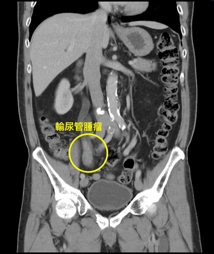
經檢查發現童先生右側輸尿管中段有明顯腫瘤。院方提供
經檢查發現童先生右側輸尿管中段有明顯腫瘤。院方提供

鄭嘉緯醫師指出,傳統開腹或腹腔鏡手術時間較長,且需要在下腹撐開較大的傷口取出檢體,因此復原期久,童先生選擇接受最新Xi達文西機械手臂手術,可一鏡到底的切除腎臟及整段輸尿管,傷口縮小也減少疼痛,加快恢復進程,術後隔天,無需等待排氣可以喝水,第二天可下床走路,移除尿管,於術後第五天就可以出院;病患恢復良好,目前術後三個月的電腦斷層與膀胱鏡無復發,病人也可以儘早回復他的生活

張家築副院長提醒,「不會痛的血尿常被忽略!」血尿分為肉眼看得見的血尿,及肉眼看不見但卻可以在顯微鏡下發現過量紅血球的「顯微性血尿」,血尿是一種常見的臨床病徵,它的病因很多,其嚴重性亦有所不同,不可輕忽。

鄭嘉緯醫師提醒,平常上廁所時多看一眼尿液的色澤變化,若有異常及早就醫。院方提供
鄭嘉緯醫師提醒,平常上廁所時多看一眼尿液的色澤變化,若有異常及早就醫。院方提供

鄭嘉緯醫師提醒,平常上廁所時多看一眼尿液的色澤變化,若發現有血尿狀況,及早至泌尿科門診諮詢,了解自身健康;平常也需注意腎臟功能,不抽菸、不服用成分不明的中草藥,以降低罹癌風險。

作者簡介

鮮明

曾先後任職3家平面媒體,跑過許多大大小小的社會新聞,擅長處理讀者投訴、爆料案件,挖掘網路熱門議題,樂於踢爆社會的不公不義。


點擊閱讀下一則新聞 點擊閱讀下一則新聞
複製桃園市長選舉勝選經驗 把侯友宜送進總統府