「hMPV(人類間質肺炎病毒)真的不容小覷!」醫師林智葳在粉專「醫心葳你Wei醫師~林智葳醫師」分享一個案例,一名4歲左右的孩子,反覆發燒39°C 3天,合併咳嗽有痰、鼻水、輕微喉嚨痛;燒到第3天時回診本來以為孩子發燒的時間已經漸漸拉長,感覺要逐漸退燒時,沒想到孩子回家後又繼續高燒2天。
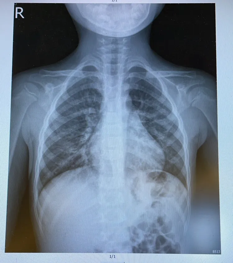
林智葳表示,孩子高燒第1天時,父母會很緊張。高燒第3天時,換成他有點焦慮,燒到第5天時,他請父母無論如何都要去醫院進行檢查。「結果出來,X光片呈現肺炎,微生物證據為hMPV(人類間質肺炎病毒)。」
林智葳表示,雖然hMPV沒有特定的抗病毒藥物可以治療,也不容易引發重症,可是它容易讓孩子高燒數日,有些甚至到第7天才退燒,甚至引發肺炎的特性還是不容忽視。
如果本身就有氣喘(Asthma)、呼吸道過敏等體質的人更要多加注意。林智葳並提醒,可以預期近期門診內,發燒且併有肺炎的病人應該會大幅增加,請大家多加小心。

爆料信箱:news@nextapple.com
★加入《壹蘋》Line,和我們做好友!
★下載《壹蘋新聞網》APP
★Facebook 按讚追蹤
點擊閱讀下一則新聞
撐不下去!Dcard電商「好物研究室」5/31關閉 網崩潰:為什麼