台北榮總今(3/7)上午召開記者會說明天疱瘡,北榮皮膚部主任陳志強解釋,這是老人常見的自體免疫疾病之一,會出現皮膚搔癢、水疱、破皮等症狀,需長期使用口服類固醇或免疫抑制藥,嚴重時會常住院用藥並照護傷口,不只造成家人沈重負擔,病人生活品質也大受影響,如控制不佳,甚至會造成嚴重感染或死亡。
北榮皮膚部光化學治療科主任吳貞宜說明,類天疱瘡常發生在臥床的老人,病灶多在腋下、胯下等皮膚皺摺處,且個案多伴隨多重慢性病,或失智、中風、巴金森氏等神經系統疾病的病⼈,透過2007至2018年健保資料庫統計,台灣每年新發個案約1000人,而隨人口老化,近10年來罹病人數增加2倍以上。
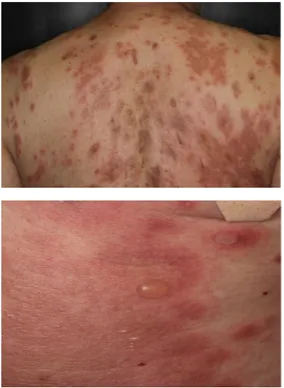
吳貞宜接著提到,類天疱瘡患者會增加靜脈栓篩風險,治療的類固醇使用量,也與感染率呈正相關,北榮曾收治1名69歲男性患者,皮膚出現搔癢紅疹,也出現大小不一的水疱、破皮,共住院2次。
此外,吳貞宜指出,該個案除口服類固醇,也使用免疫抑制藥控制水疱產生,且過程中發現個案合併糖尿病,正在使用二肽基肽酶-抑制劑(DPP4 inhibitor),這會增加類天疱瘡風險,與新陳代謝科醫師討論後更換用藥,已持續追蹤5年,目前病況控制穩定,口服類固醇已降至最低劑量,僅需每3個月回診即可。
不過,除了該名年長個案,吳貞宜也提到,先前有名年約40歲的女性腦癌個案,雖不屬於類天疱瘡好發年紀,但因癌細胞轉移,皮膚也出現紅疹、緊實水疱,陸續做了切片治療、類固醇控制,最後仍不幸離世。
針對腦癌與類天皰瘡的關係,陳志強表示,目前確切機轉未知,不過推測可能和「血腦屏障」崩潰有關,因其會讓抗原釋出到血液,導致體內免疫細胞誤認是侵入物而攻擊,而矯正死因後發現,腦癌患者爆發類天皰瘡的風險也高達2倍。

爆料信箱:news@nextapple.com
★加入《壹蘋》Line,和我們做好友!
★下載《壹蘋新聞網》APP
★Facebook 按讚追蹤
點擊閱讀下一則新聞