露米因腹痛在帛琉被診斷出結腸癌,2022年4月經馬偕醫院國際醫療中心安排轉診來台治療,進一步檢查發現是大腸直腸癌合併卵巢與腹膜轉移。大腸直腸外科與腹膜癌治療團隊主治醫師陳建勳表示,大腸直腸癌合併腹膜轉移發生比例雖然不高,治療上卻較為複雜。

馬偕為露米安排的「腹腔腫瘤減積配合溫熱化學治療」計畫中,手術由陳建勳、婦產部主治醫師陳禎瑞、一般外科主治醫師何恭誠三位合作,同時進行次全大腸切除、子宮與卵巢切除、腹膜切除、大網膜切除手術等,腹腔內手術完成後,緊接著執行90分鐘的腹腔內高溫治療(腹腔溫熱灌注化療,HIPEC),總計手術時間10小時。

術後露米於加護病房觀察2天後轉至一般病房,兩週後順利出院,後續安排每兩週進行化學治療,不料,露米於2022年7月不幸感染COVID-19,雖然症狀輕微但化學治療被迫中斷,所幸一切安然度過,於今年1月中旬完成最後一次化療,術後兩次電腦斷層結果與各項檢查數值均正常,復原情況良好,農曆春節期間結束在台10個月的治療返回帛琉。

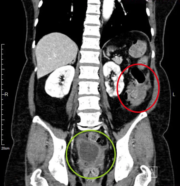
腫瘤造成大腸套疊,紅圈處為大腸癌,綠圈處為骨盆腔腹膜黏液性腫瘤。馬偕提供
腫瘤造成大腸套疊,紅圈處為大腸癌,綠圈處為骨盆腔腹膜黏液性腫瘤。馬偕提供

陳建勳表示,術前的治療計畫嚴謹完備,有助於國際醫療轉診病人的治療過程更為順利,但除了醫療之外,病人長時間在異鄉,飲食與心理調適也是團隊重視的一環。由於病人不習慣台灣的飲食口味,特別是無法接受早餐的清粥小菜,護理師上班前還會特別幫露米與陪同來台的妹妹準備西式早餐,讓露米倍感溫暖。

露米說,這是一段非常漫長的旅程,謝謝醫護人員以及國際醫療中心,治療過程中陳醫師總是非常樂觀,鼓勵我保持信心。萬萬沒想到自己會在台灣迎接2023年,到同樣來自帛琉的病人都已治療結束帶著笑容回家去了,她一直在想「什麼可以輪到我」,露米回到帛琉後利用通訊軟體與馬偕團隊報平安,幸福心情盡寫在臉上。

馬偕醫院自2009年起投入國際醫療轉診工作,國際醫療中心主任蔡維德表示,露米離開台灣之後,國際醫療中心亦秉持定期聯繫返國病人狀況的初衷,接續提供完整的醫療援助與後續追蹤服務。

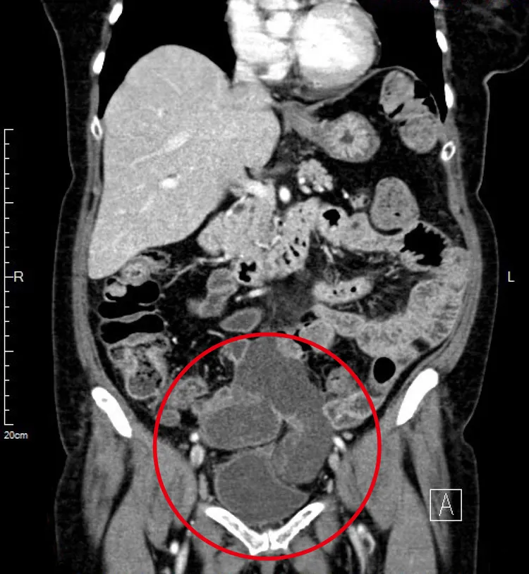
露米的骨盆腔腹膜黏液性腫瘤超過十公分。馬偕提供
露米的骨盆腔腹膜黏液性腫瘤超過十公分。馬偕提供

《壹蘋》為你揭發不公不義、挖掘內幕

爆料網址:reporting.nextapple.com

或寄電郵信箱:news@nextapple.com

★加入《壹蘋》Line,和我們做好友!

★下載《壹蘋新聞網》APP

★Facebook 按讚追蹤

壹蘋娛樂粉專壹蘋新聞網粉專