
收治男童的高雄長庚醫院小兒腸胃科主治醫師賴宛孜表示,男童以急診入院,因嘔吐、無法進食奄奄一息,家人則指兩天前曾帶他到夜市,男童拿到一包「水晶寶寶」,疑似吞了幾顆,之後開始出現不適。
賴宛孜表示,水晶寶寶是種丙烯酸樹脂化合物,因五顏六色,泡水會漲大再分裂,像生寶寶般,很受兒童喜愛,但若誤食,體內胃液、腸液都可能使水晶寶寶脹大,在小腸窄小段造成阻塞,未取出有可能致腸壞死或破裂等致命危機。
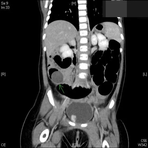
經安排X光、電腦斷層等檢查,賴宛孜發現男童小腸有多段腫脹現象,會小兒外科醫師蔡逸文為男童開刀。蔡逸文指,經剖開男童小腸段,發現裡面有多顆脹大的水晶寶寶,已將小腸阻塞,其中最大一顆橢圓形水晶寶寶,竟然有2乘以3公分大,這是男童為何會嘔吐、吃不下原因,取出腸內異物後,留男童住院觀察。
男童術後一度可進食,但2、3天後,又開始嘔吐、吃不下,賴宛孜再為男童檢查,發現還有水晶寶寶阻塞住腸道,因此在術後第5天,由蔡逸文再為男童開第2次刀。
蔡逸文說,第2次手術時,他發現男童的小腸又出現新的阻塞段,「腸子鼓地大大的」,一樣剖開後看到多顆已膨脹的水晶寶寶。
「到底還有多少的水晶寶寶?」望著手術抬上被全身麻醉的男童,也進開刀房的賴宛孜,決定以胃鏡直趨男童胃的底部,內視鏡影像中看到一堆水晶寶寶的凝膠殘塊,這些難以計數的「水晶寶寶」,都可能再脹大,等通過男童小腸再造成阻塞。
在盡可能以剖腹與以胃鏡夾子夾出男童體內的水晶寶寶後,男童腸道「暫時」恢復通暢,但隨即被從手術房推進加護病房,裝上鼻胃管灌食鹽水,解決有如不定時炸彈的水晶寶寶殘塊。
賴宛孜解釋,水晶寶寶是丙稀酸高分子聚合物,具遇水膨脹,遇納離子縮小特性,因此,醫療團隊期待以灌含鈉離子的食鹽水,讓男童體內殘餘水晶寶寶縮小,果真此舉奏效,被灌食鹽水男童,三天後解出含水晶寶寶的大便,恢復進食與活力,住院半個月後出院。
蔡逸文說,腸阻塞患者因腸塞住,先是嘔吐、吃不下,可能脫水休克,若不治療,腸道接著可能發黑、壞死,甚至是破裂,引發腹膜炎與敗血性休克,是致死率高的急症。
賴宛孜說,事後她到文具店、十元商店,都輕易買到水晶寶寶,這種在國小學童間普遍的玩具,家長應留心不讓家中幼兒接觸到。
賴宛孜表示,水晶寶寶為聚丙烯聚合物做成,也是尿布中吸水的成分,吸水力極強,吸收水分之後可以膨脹至數倍之大,又因顏色鮮豔繽紛,可能會被幼童誤食,而在腸道內漲大,導致腸道阻塞、甚至腸道破裂引起腹膜炎或死亡。
蔡逸文建議,家中如有幼童,應將此類物品置於幼童不易取得高處。若不小心或疑似誤食,應儘速送醫,勿自行於家中以生理食鹽水灌食。
點擊閱讀下一則新聞