大里仁愛醫院骨科部長黃贊文醫師表示,「小豪」加馬拉松比賽時踩空跌倒,造成右腳掌疼痛腫脹,腳底也出現瘀血。第一時間至附近醫院的急診室檢查時沒有看到骨折,醫師給了止痛藥並囑咐要抬高冰敷、好好休息。然而,過了3個禮拜腳掌依舊瘀青腫脹,一踩就痛,於是前往大里仁愛醫院骨科的運動醫學特別門診看診,才發現是腳掌的蹠跗關節韌帶受傷。

 

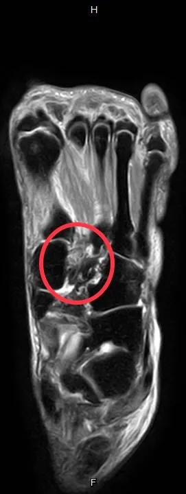
患者經MRI檢查發現蹠跗韌帶有受傷。大里仁愛醫院提供
患者經MRI檢查發現蹠跗韌帶有受傷。大里仁愛醫院提供

黃贊文醫師表示,蹠跗關節是足弓穩定非常重要的關節,像是拱橋上最重要的基石,有許多韌帶附著在上面。蹠跗關節韌帶拉傷常發生在高能量的外傷或運動傷害。若X光上看到蹠跗關節有變寬或排列不整齊變形的狀況,最好儘早手術復位,以免影響日後足部的功能。

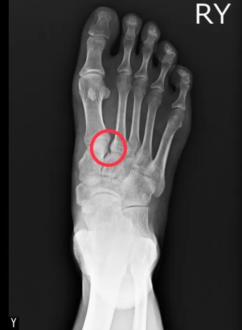
患者照X光發現,跗趾關節有開離。大里仁愛醫院提供
患者照X光發現,跗趾關節有開離。大里仁愛醫院提供

該院運動醫學中心劉永川醫師指出,蹠跗關節受傷一般發生在中年男性比較多,會有嚴重的疼痛並且無法負重站立。診斷主要藉由X光或進一步電腦斷層的檢查,核磁共振則可以進一步用在鑑別韌帶的受傷。若是蹠跗關節移位嚴重或合併複雜的骨折需要較大傷口並使用鋼板及骨釘來復位及固定;若是像小豪一樣僅是蹠跗關節韌帶受損則可使用微創骨釘的方式來治療。

 

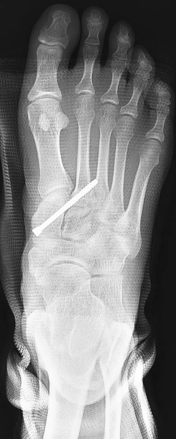
微創鋼釘固定手術治療後的X光照。大里仁愛醫院提供
微創鋼釘固定手術治療後的X光照。大里仁愛醫院提供

劉永川說,蹠跗關節韌帶受傷不易發現,若沒有儘早處理,會造成足弓塌陷影響行走功能,甚至日後關節退化產生關節炎。輕微的蹠跗關節韌帶使用微創手術治療對軟組織的傷害比較小,恢復效果好。複雜的蹠跗關節韌帶斷裂合併骨折常常有組織嚴重腫脹造成傷口癒合不良的情況,可能需要多次手術重建甚至補皮或皮瓣轉移。民眾可以接受高壓氧治療以促進軟組織消腫,使用富含生長因子的高濃度血小板濃縮液(PRP)注射來幫助修復。

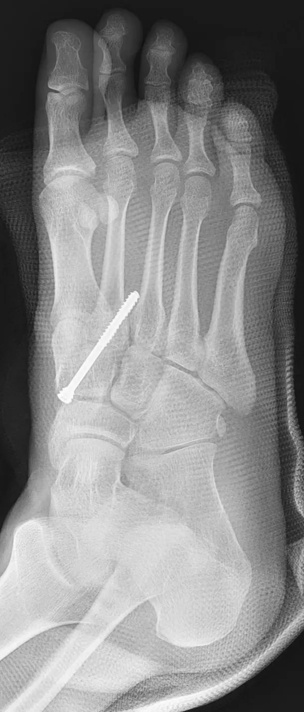
患者接受微創鋼釘固定手術治療後的x光照。大里仁愛醫院提供
患者接受微創鋼釘固定手術治療後的x光照。大里仁愛醫院提供