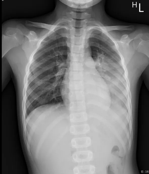
花蓮慈濟醫院曾收治一名8歲男童因呼吸道融合病毒(RSV)合併肺炎鏈球菌及鼻病毒的感染,造成左側大葉性肺炎,就醫檢查胸部X光發現左邊肺部幾乎白化住院治療。陳明群指出,在過去的兒科臨床案例中,這種RSV造成年紀較大的孩子發生肺炎的案例是相對少見的,大多都是4、5歲以下的小小孩免疫系統還未成熟且細支氣管較細小,被病毒攻擊時才會這麼嚴重。
陳明群舉例,一般兒童原本會在成長過程中偶爾得到小感冒,讓體內的免疫系統循序漸進、慢慢累積對疾病的抵抗力,這是身體自然建立防禦的過程;但過去3年間孩子們被保護得很好,戴口罩、勤洗手、保持社交距離等防疫措施更大幅隔絕飛沫傳染細菌及病毒的可能,因此當解除防疫限制後,身體一下子接觸到多種從未碰過的病毒,就像許多小感染的威力一次聚集發作,造成比普通感冒更為嚴重的症狀,即「免疫負債」效應,讓即便已上小學年紀的孩子也難免除於多重呼吸道細菌及病毒的攻擊。
陳明群表示,造成這一波小兒呼吸道感染數增加的原因之一,包括呼吸道融合病毒(RSV)。呼吸道融合病毒的傳染途徑為飛沫和近距離接觸,感染症狀包括常見的咳嗽、流鼻涕、發燒等等,較嚴重則會引起急性細支氣管炎產生如氣喘發作般的咻咻聲,年齡越小的嬰幼兒受感染越容易引發細支氣管發炎水腫並發生黏液阻塞,症狀大約會持續一到二週。
陳明群提醒,像早產兒、患有神經系統疾病的嬰幼兒、以及患有先天性心臟疾病的嬰幼兒,由於肺部較脆弱,感染呼吸道融合病毒後需特別注意病情變化。而根據「疾管署傳染病統計資料查詢系統」疫情監測顯示,近日副流感病毒檢驗出的株數已超過呼吸道融合病毒,多數感染症狀與其他呼吸道病毒雷同,較特別的是易引發「哮吼」。
陳明群指出,副流感病毒主要攻擊的部位就是喉嚨,伴隨著聲音沙啞、喉嚨被鎖住的感覺,病患咳嗽時發出「類似狗吠聲的」,是哮吼臨床常見的典型症狀。
近期的類流感病毒感染後,在一般情形下都沒有特定抗病毒治療藥物的特效藥,感染後只能給予症狀治療藥物,緩解小朋友的不適,最終還是要靠孩子自己產生的抵抗力打敗病毒;陳明群主任建議,孩童感染後在家時可多喝開水多休息、注意營養及睡眠,家長在照顧上也要協助嬰幼兒拍痰,避免痰液累積在氣管中。
至於該如何預防這麼多的呼吸道病毒呢?陳明群表示,之前大家是怎麼防範COVID-19,現在就怎麼對付這些病毒,外出戴口罩、不摸口鼻、勤洗手,回到家後消毒、換衣服,盡量把病毒隔絕在外;以及最重要的「施打流感疫苗」!讓兒童在被許多類流感病毒圍攻的此刻,能夠減少一種呼吸道病毒感染的可能,降低複合式感染對病患所造成的風險。
★快點加入《壹蘋》Line,和我們做好友!
★FB按讚追蹤《壹蘋新聞網》各大臉書粉絲團,即時新聞到你手,不漏任何重要新聞!


點擊閱讀下一則新聞