阮男在接受光學斷層掃描儀及角膜共聚焦顯微鏡檢查後發現,阮男右眼遭4級化學灼傷,眼睛角膜輪部均壞死,且結膜、虹膜水晶體和瞳孔皆白化、結膜眼穹窿攣縮,完全失去視力,雖然經過七次羊膜移植(AMT)及自體輪部組織移植後仍然效果不佳。

麥令琴醫師為阮先生進行檢查。亞東醫院提供
麥令琴醫師為阮先生進行檢查。亞東醫院提供

負責診療阮男的亞東醫院眼科部麥令琴醫師評估後,決定利用阮先生自體口腔黏膜組織移植、異體角膜輪部、幹細胞移植與角膜移植,並與高壓氧中心等醫療團隊通力合作下,術後再結合8次高壓氧治療,讓阮男右眼重新恢復視力。

阮手術前男遭強酸灼傷的右眼。亞東醫院提供
阮手術前男遭強酸灼傷的右眼。亞東醫院提供

麥令琴表示,眼睛遇到化學性燒傷時,應立即就地使用大量清水沖洗,將眼睛內的化學物質全部洗淨,因為用清水沖洗不僅能有稀釋作用,且能沖走眼中化學物質,將其破壞程度降至最低。所以,沖洗這個步驟非常重要且分秒必爭,即便在無人幫助的情況下,傷者也應該立即自救,其最好的作法是將面部浸於水中,睜開或扒開眼瞼沖洗約5-20分鐘後,再到醫院進行後續檢查和處理。

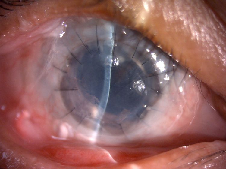
阮男右眼手術後恢復良好。亞東醫院提供
阮男右眼手術後恢復良好。亞東醫院提供

麥令琴說,角膜上皮燒傷可分為化學燒傷和熱燒傷,發生嚴重燒傷時,患者角膜輪部幹細胞會受到很大的損傷,嚴重影響角膜正常生長,治療方式有類固醇藥物治療及手術治療,手術技術有羊膜移植、角膜輪部同種異體移植和角膜輪部自體移植;化學性角膜上皮燒傷為極可能導致失明的急性疾病,若民眾發生這種狀況時應盡快沖洗及送醫治療。

亞東醫院高壓氧中心主任張厚台與團隊合照。亞東醫院提供
亞東醫院高壓氧中心主任張厚台與團隊合照。亞東醫院提供

亞東醫院高壓氧張厚台主任表示,阮男是成功使用眼角膜及眼角膜幹細胞及口腔黏膜組織移植、置換,合併高壓氧治療的右眼化學燒傷的案例,一旦病患需要角膜移植,眼科醫生可考慮在手術後安排高壓氧治療,高壓氧可輔助有效地緩解化學燒傷的角膜上皮燒傷的破壞性併發症,適時提供角膜輪部新生所需氧份,透過本次成功案例,證明高壓氧對角膜輪部幹細胞移植後的傷口癒合有幫助。

「壹天壹蘋果」2.0版由最專業記者為你遍訪名醫,為你的健康把關。常看「壹天壹蘋果」,常保健康不老。

按讚、追蹤《壹蘋新聞網》各大臉書粉絲團,即時新聞到你手,不漏接任何重要新聞!

壹蘋新聞網粉絲團

壹蘋娛樂粉絲團

壹蘋時尚粉絲團

★快點加入《壹蘋》Line,和我們做好友!★


點擊閱讀下一則新聞 點擊閱讀下一則新聞
南迴公路7旬翁遭小貨車撞飛 傷勢嚴重當場死亡