醫生問診之下,發現許姓病患已吸菸20多年,是名老菸槍。他今年9月中旬某日當天,因氣胸症狀令他相當難受,緊急到南投醫院急診,經保守治療插上胸管將空氣引流,症狀才改善。但回家後過沒幾天,卻又出現相同症狀,醫生評估才透過積極治療動手術,讓未來降低復發機率。

南投醫院胸腔內科主任施志宏指出,氣胸是指空氣堆積於肋膜腔內,使肺葉塌陷。可能會有胸悶、胸痛、呼吸困難、喘等症狀,嚴重時會引發張力型氣胸,導致休克甚至死亡。

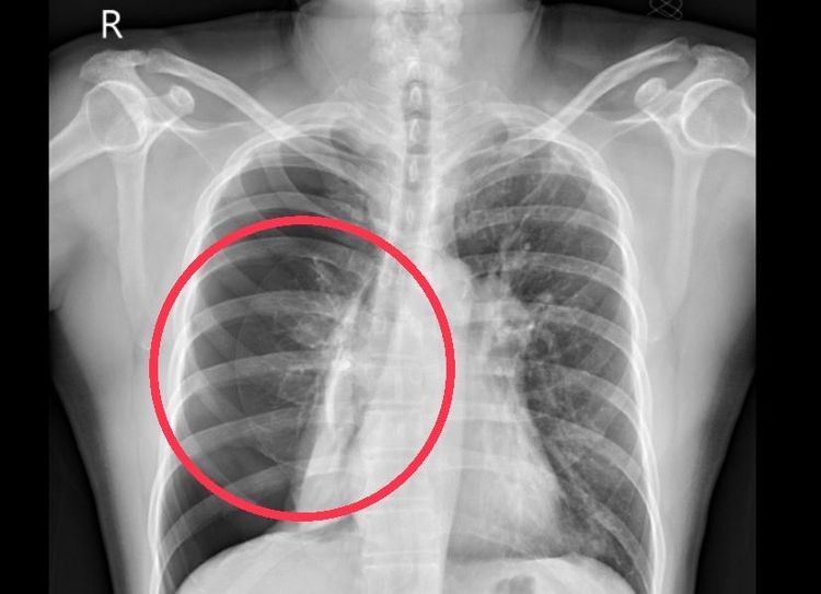
照片X光片的紅圈處為患者右肺明顯塌陷。南投醫院提供
照片X光片的紅圈處為患者右肺明顯塌陷。南投醫院提供

引發氣胸原因分為兩大類,其中自發性氣胸,是因肺部氣泡破裂引起,成因尚不明,但好發於高瘦年輕的男性;另外,則是外傷性氣胸,是遭受外力撞擊、外傷、手術等過程導致肺部破裂引發。而有菸癮者,肺部長期遭菸品侵害,會增加自發性氣胸的罹患機率。

南投醫院特聘醫師、國軍台中總醫院胸腔外科主任謝志明表示,氣胸的治療依病況的輕重而有不同的治療方式,分為保守治療與動手術的積極治療,保守治療為氧氣給予、胸管引流,但保守治療的復發率較高。

許姓患者在短短數日內便復發,研判再次復發的機率高,因此安排手術治療。目的是要找出造成氣胸的病灶並將其切除,另外,再加上肋膜沾黏術,期望使肋膜腔完全粘黏,以降低氣胸復發率。通常術後復發率,可控制在3%以下,讓病患可恢復正常生活品質。

「壹天壹蘋果」2.0版由最專業記者為你遍訪名醫,為你的健康把關。常看「壹天壹蘋果」,常保健康不老。

★快點加入《壹蘋》Line,和我們做好友!★

按讚追蹤《壹蘋新聞網》各大臉書粉絲團,即時新聞不漏接!!!

壹蘋即時報報 粉絲團

壹蘋娛樂 粉絲團

壹蘋時尚 粉絲團


點擊閱讀下一則新聞 點擊閱讀下一則新聞
高雄抹屎客出沒!汽機車手把被塗賽 環保局揭「屎罪難逃」