機車有側柱與立柱,台灣法規並未強制規定機車是否該立中柱,不過,因多數市區停車空間有限,採中柱停車,不僅停得穩,也能節省空間,因此,網路聲浪多推「中柱派」停車,並稱這是有公德心的停車法。

相關新聞:獨家|女停機車立中柱「與車合體」 悚!這1根長23公分竟如斧頭直插小腿

機車行業者張先生看到李小姐中柱停車,卻慘遭中柱插進小腿的血淋淋照片,直呼「不可思議」;他分析李小姐會出此意外,可能與車子未熄火、地不平與施力不當三大因素有關。

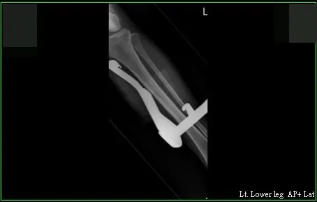
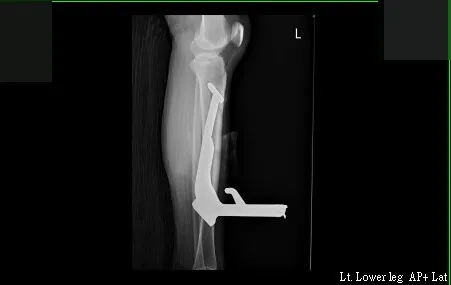
在X光片影像中,可看到長達23公分的中柱,直直插在李小姐左腿裡。讀者提供
在X光片影像中,可看到長達23公分的中柱,直直插在李小姐左腿裡。讀者提供
李小姐發現停機車立中柱時,車子暴衝,整隻中柱插進她的左小腿裡,濃稠的鮮血直滴。讀者提供
李小姐發現停機車立中柱時,車子暴衝,整隻中柱插進她的左小腿裡,濃稠的鮮血直滴。讀者提供
在X光片影像中,可看到長達23公分的中柱,直直插在李小姐左腿裡。讀者提供
在X光片影像中,可看到長達23公分的中柱,直直插在李小姐左腿裡。讀者提供

張老闆說,李小姐在未熄火情況下停車,在拉起車身立中柱時,手可能因此誤催油門,讓車子暴衝;他也研判李小姐停車位置並不平整,加女生力氣較小,致使施力不當、讓車身歪斜,車子暴衝後,彈跳起的中柱才插進小腿裡。

平復重創情緒後,李小姐現已重回「機車族」生活,她說,現停車均謹記熄火、停車只立側柱原則,另若停車空間太小、路面不平,她寧可繞路找空間較大的停車位,不勉強停車。

李小姐看著路邊以中柱停車的機車,撫胸稱她看了好怕。吳慧芬攝
李小姐看著路邊以中柱停車的機車,撫胸稱她看了好怕。吳慧芬攝
小姐談起意外發生過程,仍心有餘悸。吳慧芬攝
小姐談起意外發生過程,仍心有餘悸。吳慧芬攝

點擊閱讀下一則新聞 點擊閱讀下一則新聞
高雄警車深夜執勤遭貨車撞 車尾被撞爛、1警頭暈送醫