「太可怕了」王小姐接受《壹蘋新聞網》採訪時,仍心有餘悸,她說,去年(2022年)11月底,她在某銀行騎樓欲停放機車,那是個左邊靠樑、右邊有其他機車的小空隙,她想應擠得進去,在未熄火、車頭往外側人行道方向下,把機車牽進空隙,接著她以左腳踩中柱,試著拉起車身立起。

相關新聞:獨家|高雄女停車慘遭中柱插腿 專家研判可能這3原因

就在這時候,李小姐機車突往前暴衝,因騎樓比外側人行道高約15公分,往下衝至人行道的機車,在重力加速度下,讓已因立起動作翹起的中柱,像「斧頭」直接從李小姐左腳腳踝處刺進,往上直插,到膝蓋處才停下。

李小姐發現停機車立中柱時,車子暴衝,整隻中柱插進她的左小腿裡,濃稠的鮮血直滴。讀者提供
李小姐發現停機車立中柱時,車子暴衝,整隻中柱插進她的左小腿裡,濃稠的鮮血直滴。讀者提供
李小姐發現停機車立中柱時,車子暴衝,整隻中柱插進她的左小腿裡,濃稠的鮮血直滴。讀者提供
李小姐發現停機車立中柱時,車子暴衝,整隻中柱插進她的左小腿裡,濃稠的鮮血直滴。讀者提供

「我痛到快昏厥!」李小姐說,左腳被插進中柱的她被迫「與機車合體」,只能靠右腳站立,雙手還得扶著機車避免車身倒下,她企圖拔出中柱,但鮮血狂滴、卻拔不出來,她無奈下只能大喊救命,所幸有路人幫她扶車,有人報警,直至警消趕到,以鋸子鋸斷中柱,才得以讓李小姐與機車分離,將她送醫。

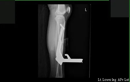
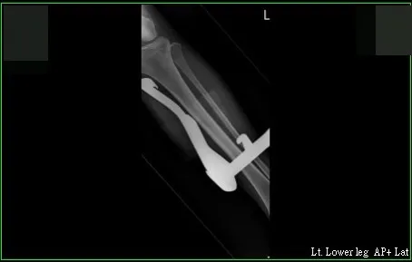
收治李小姐的高雄市立大同醫院整形外科主任賴雅薇表示,李小姐到院馬上被送進開刀房,在X光片下,可看到尾部有倒勾、長達23公分的中柱,整隻插在李小姐的左腿裡,「整個開刀房人員都圍過來看」。

在X光片影像中,可看到長達23公分的中柱,直直插在李小姐左腿裡。讀者提供
在X光片影像中,可看到長達23公分的中柱,直直插在李小姐左腿裡。讀者提供
在X光片影像中,可看到長達23公分的中柱,直直插在李小姐左腿裡。讀者提供
在X光片影像中,可看到長達23公分的中柱,直直插在李小姐左腿裡。讀者提供

經血管與神經探查、麻醉下,賴雅薇在開刀房裡,劃開李小姐腿部分皮膚,將整隻中柱取出,後續安排李小姐住院,用藥並請復健科介入,李小姐住院5天後出院;所幸中柱插進小腿時,未傷及骨頭,血管、神經雖有受損,但李小姐很努力,積極做復健,上周回診時已能行走。

賴雅薇提醒,民眾若遇異物穿刺體內,謹記保持鎮定,不可自行拔出異物,拉扯過程中,有可能讓神經、血管受損更嚴重,甚至大出血、危及生命,應立即對外求助,等待救護人員抵達期間,勿亂動,若有鮮血噴出,可加壓止血。

經警消鋸斷中柱、簡易包紮後,將李小姐連人帶中柱送抵大同醫院。讀者提供
經警消鋸斷中柱、簡易包紮後,將李小姐連人帶中柱送抵大同醫院。讀者提供
經警消鋸斷中柱、簡易包紮後,將李小姐連人帶中柱送抵大同醫院。讀者提供
經警消鋸斷中柱、簡易包紮後,將李小姐連人帶中柱送抵大同醫院。讀者提供
李小姐談起意外發生過程,仍心有餘悸。吳慧芬攝
李小姐談起意外發生過程,仍心有餘悸。吳慧芬攝

李小姐說,受傷3個月來,她起初看到機車,「痛徹心扉」的感覺就回來,不敢騎機車,但在高雄「沒機車好像沒有腳」,太不方便,後來,決定拆掉機車中柱這個「讓我最害怕部分」,重回騎機車的日子,但只是要停車時,改以側柱停車。

李小姐談起意外發生過程,仍心有餘悸。吳慧芬攝
李小姐談起意外發生過程,仍心有餘悸。吳慧芬攝
李小姐(左)上周回大同醫院門診,由主任賴雅薇為她看診。吳慧芬攝
李小姐(左)上周回大同醫院門診,由主任賴雅薇為她看診。吳慧芬攝

李小姐說,雖然她的情況是「特例」,但也凸顯以立柱停機車,竟有這麼可怕的風險,「機車中柱」也是有可能成為傷人的「利器」,或許機車廠商,可研議對中柱安全性改良,是否可以不要如「斧頭」般尖銳,或立起時的彈跳速度可稍減緩,否則有一也可能有二,難保不會再有下個受傷者。

此外,李小姐說,經此次意外,她也提醒自己,日後停機車時,若空間太小不要想硬擠進去,她現都寧可多繞一些路,找到合適停車格才停車。

李小姐以其他摩托車示意說明,指她停車立中柱時,中柱彈起插入她的左腿裡。吳慧芬攝
李小姐以其他摩托車示意說明,指她停車立中柱時,中柱彈起插入她的左腿裡。吳慧芬攝
小姐就是騎著這部灰色重型機車,發生中柱插左小腿意外,現她依舊騎這輛車,但已將中柱移除,停車改以側柱。吳慧芬攝
小姐就是騎著這部灰色重型機車,發生中柱插左小腿意外,現她依舊騎這輛車,但已將中柱移除,停車改以側柱。吳慧芬攝
小姐就是騎著這部灰色重型機車,發生中柱插左小腿意外,現她依舊騎這輛車,但已將中柱移除,停車改以側柱。吳慧芬攝
小姐就是騎著這部灰色重型機車,發生中柱插左小腿意外,現她依舊騎這輛車,但已將中柱移除,停車改以側柱。吳慧芬攝
高雄市立大同醫院整形外科主任賴雅薇。翻攝大同醫院網站
高雄市立大同醫院整形外科主任賴雅薇。翻攝大同醫院網站

點擊閱讀下一則新聞 點擊閱讀下一則新聞
高雄警車深夜執勤遭貨車撞 車尾被撞爛、1警頭暈送醫