胰臟癌因早期症狀並不明顯,且缺乏有效的篩檢方式,診斷時往往多為晚期,5年存活率僅剩約13%。近年來國內外許多名人,如聲樂家帕華洛帝(Luciano Pavarotti)、時尚界「老佛爺」卡爾拉格斐(Karl Lagerfeld)、蘋果公司創辦人賈伯斯(Steve Jobs)等都因胰臟癌去世。

台大醫院與中央研究院跨領域合作,今天上午公布最新回溯性研究成果,團隊成功研發出高效能診斷模型PanMETAI,透過「液態生檢」創新整合人工智慧與核磁共振代謝體分析,建構出具備高度穩定性、全球可擴展性的篩檢平台。研究成果已登上國際期刊「自然通訊」(Nature Communications)。

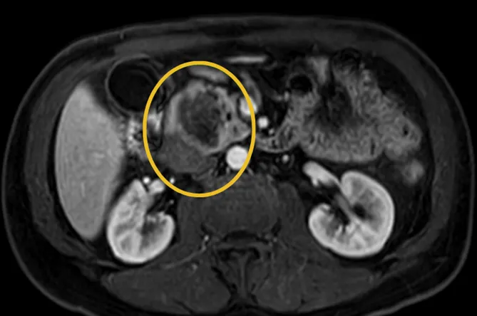
胰臟癌病灶位置深、無症狀、影像不明顯

過去胰臟癌難以治癒的最大痛點在於「發現太晚」,台大醫院內科教授張毓廷簡報指出,主要是因為其位置深、多數無症狀、影像不明顯,早期幾乎無痛、無明顯症狀。

張毓廷表示,多項研究已發現,胰臟癌會導致一系列進行性代謝和軟組織改變,這些變化通常在胰臟癌臨床診斷前2至3年開始出現,首先是新發高血糖,隨後是血脂水平下降和皮下脂肪減少,最終發展為肌肉萎縮和惡病質,這些代謝改變,成為早期檢測胰臟癌的潛力。

台大新技術「抽血」就能精準檢測

因此,如何在腫瘤早期就捕捉到身體異常訊號,一向是全世界醫界努力的方向。張毓廷會前受訪表示,隨著大數據與AI科技的進步,團隊耗時多年,終於成功將技術整合成一個只需「抽血」就能精準檢測的平台。

張毓廷解釋,研究團隊運用高度標準化的核磁共振(NMR)代謝體分析平台,僅需每名受試者110微升血清,即可取得多達約26萬個代謝訊號,再透過深度學習模型,系統性擷取與胰臟癌相關的關鍵特徵。此方法能全面反映胰臟癌從癌前病變至早期癌症的整體代謝變化,顯著提升早期風險辨識能力。

張毓廷強調,在台大醫院的獨立盲測資料集中,PanMETAI的整體預測效能(AUC)高達0.99,敏感度為 93%、特異度為94%;且不只在台灣,進一步於立陶宛進行的外部驗證中,也維持0.93的高水準,顯示在不同人種間皆表現穩定結果。

這項技術不侷限於胰臟癌。張毓廷透露,團隊目前已著手將此「多癌症檢測平台」應用於胃癌、大腸癌、肝癌等其他重大癌症檢測,初步研究效果皆相當理想,未來有望成為跨癌症的早期篩檢利器。(中央社)

作者簡介

生活中心

聚焦民生日常與公共資訊,涵蓋天氣、醫藥、健康與市政動態,強調即時實用與服務導向,提供讀者生活決策參考。


點擊閱讀下一則新聞 點擊閱讀下一則新聞
為何長輩最容易被騙?精神科醫曝:判斷力下降+太信人