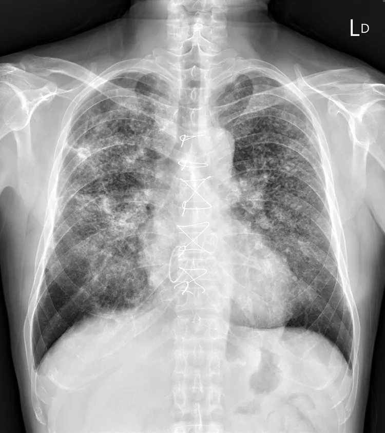
蘇一峰在臉書發文表示,一名40歲男患者不抽菸,但喘了幾個月因此到胸腔科治療,結果發現他十隻手指幾乎都是杵狀指,因此也安排他照X光,「X光就看到滿天星的肺結節,成千上萬顆肺結節,讓密集恐懼症的人頭皮發麻」。

蘇一峰最後也提醒,「看到手指變成杵狀指,記得找醫師檢查一下」。網友見狀也好奇他是得什麼病,杵狀指又是什麼,其實,杵狀指不是疾病,而是一種症狀,手指或腳趾末端指節鬆軟腫大,甲根部到末端呈弧形隆起,看起來像棒槌。

若有杵狀指症狀,可能代表心肺功能或腸胃道功能有問題,且已經造成供氧問題,讓身體長期處於缺氧狀態,雖然有資料指出,出現杵狀指有可能罹患肝癌、肺癌、淋巴癌或心臟相關疾病等,但其實老菸槍、嚴重慢性肺阻塞的病人等,都可能有杵狀指發生。因此若發現自己有杵狀指,先尋求醫師協助治療。

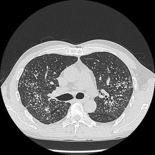
40歲男X光照出成千上萬顆肺結節。翻攝蘇一峰臉書
40歲男X光照出成千上萬顆肺結節。翻攝蘇一峰臉書
40歲男胸部X光。翻攝蘇一峰臉書
40歲男胸部X光。翻攝蘇一峰臉書
作者簡介

黃詩淳

曾任網路媒體,喜歡發掘社會大小事,擅長內容撰寫,具備社群經營實務經驗,熟悉數位行銷與網路趨勢。


點擊閱讀下一則新聞 點擊閱讀下一則新聞
想買化妝台撲空!見代購一車一車搬「超失落」 她要好市多給交代